For quotations, please use our online quotation form, and you may also contact us by
service@kendallscientific.com
+1-888.733.6849 (Toll-free)
+1-617.299.7367 (Int’l))
+1-888.733.6849
Our customer service representatives are available 24 hours, Monday through Friday to assist you.| Reactivity | Human Mouse Rat |
| Tested applications | WB IHC IF |
| Recommended Dilution | WB 1:500 - 1:2000 IHC 1:50 - 1:200 IF 1:50 - 1:200 |
| Calculated MW | 40kDa |
| Observed MW | Refer to Figures |
| Immunogen | Recombinant protein of human ABO |
| Storage Buffer | Store at -20℃. Avoid freeze / thaw cycles. Buffer: PBS with 0.02% sodium azide, 50% glycerol, pH7.3. |
| Synonym | GTB; NAGAT; A3GALNT; A3GALT1; |

Western blot analysis of extracts of K562 cell lines, using ABO antibody.

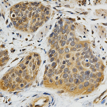
Immunohistochemistry of paraffin-embedded human esophageal cancer using ABO antibody at dilution of 1:200 (x400 lens).

Immunohistochemistry of paraffin-embedded Human gastric using ABO antibody at dilution of 1:100 (x400 lens).

Immunofluorescence analysis of MCF7 cell using ABO antibody. Blue: DAPI for nuclear staining.
This gene encodes proteins related to the first discovered blood group system, ABO. Which allele is present in an individual determines the blood group. The 'O' blood group is caused by a deletion of guanine-258 near the N-terminus of the protein which results in a frameshift and translation of an almost entirely different protein. Individuals with the A, B, and AB alleles express glycosyltransferase activities that convert the H antigen into the A or B antigen. Other minor alleles have been found for this gene. [provided by RefSeq, Jul 2008]
N/A