For quotations, please use our online quotation form, and you may also contact us by
service@kendallscientific.com
+1-888.733.6849 (Toll-free)
+1-617.299.7367 (Int’l))
+1-888.733.6849
Our customer service representatives are available 24 hours, Monday through Friday to assist you.| Reactivity | Human Mouse Rat |
| Tested applications | WB IHC |
| Recommended Dilution | WB 1:500 - 1:2000 IHC 1:50 - 1:200 |
| Calculated MW | 72kDa |
| Observed MW | Refer to figures |
| Immunogen | Recombinant protein of human ADCK3 |
| Storage Buffer | Store at -20℃. Avoid freeze / thaw cycles. Buffer: PBS with 0.02% sodium azide, 50% glycerol, pH7.3. |
| Synonym | COQ8; ARCA2; CABC1; SCAR9; COQ10D4; |

Western blot analysis of extracts of various cells, using ADCK3 antibody.

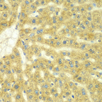
Immunohistochemistry of paraffin-embedded rat liver using ADCK3 antibody at dilution of 1:100 (x40 lens).

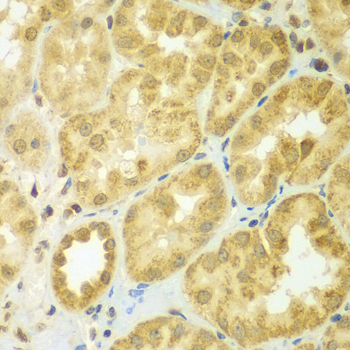
Immunohistochemistry of paraffin-embedded human kidney using ADCK3 antibody at dilution of 1:100 (x40 lens).

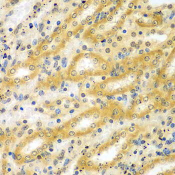
Immunohistochemistry of paraffin-embedded mouse kidney using ADCK3 antibody at dilution of 1:100 (x40 lens).
This gene encodes a mitochondrial protein similar to yeast ABC1, which functions in an electron-transferring membrane protein complex in the respiratory chain. It is not related to the family of ABC transporter proteins. Expression of this gene is induced by the tumor suppressor p53 and in response to DNA damage, and inhibiting its expression partially suppresses p53-induced apoptosis. Alternatively spliced transcript variants have been found; however, their full-length nature has not been determined.
N/A