For quotations, please use our online quotation form, and you may also contact us by
service@kendallscientific.com
+1-888.733.6849 (Toll-free)
+1-617.299.7367 (Int’l))
+1-888.733.6849
Our customer service representatives are available 24 hours, Monday through Friday to assist you.| Reactivity | Human Mouse Rat |
| Tested applications | WB IHC IF IP |
| Recommended Dilution | WB 1:500 - 1:2000 IHC 1:50 - 1:200 IF 1:50 - 1:200 IP 1:20 - 1:50 |
| Calculated MW | 66kDa |
| Observed MW | Refer to Figures |
| Immunogen | Recombinant protein of human AIFM1 |
| Storage Buffer | Store at -20℃. Avoid freeze / thaw cycles. Buffer: PBS with 0.02% sodium azide, 50% glycerol, pH7.3. |
| Concentration | b |
| Synonym | AIF; CMTX4; COWCK; PDCD8; COXPD6; |

Western blot analysis of extracts of various cell lines, using AIFM1 antibody.

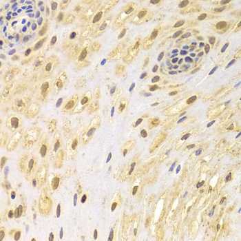
Immunohistochemistry of paraffin-embedded human esophageal using AIFM1 antibody at dilution of 1:100 (x400 lens).

Immunofluorescence analysis of U2OS cell using AIFM1 antibody. Blue: DAPI for nuclear staining.

Immunofluorescence analysis of HeLa cell using AIFM1 antibody. Blue: DAPI for nuclear staining.
This gene encodes a flavoprotein essential for nuclear disassembly in apoptotic cells, and it is found in the mitochondrial intermembrane space in healthy cells. Induction of apoptosis results in the translocation of this protein to the nucleus where it affects chromosome condensation and fragmentation. In addition, this gene product induces mitochondria to release the apoptogenic proteins cytochrome c and caspase-9. Mutations in this gene cause combined oxidative phosphorylation deficiency 6, which results in a severe mitochondrial encephalomyopathy. Alternative splicing results in multiple transcript variants. A related pseudogene has been identified on chromosome 10.
N/A