For quotations, please use our online quotation form, and you may also contact us by
service@kendallscientific.com
+1-888.733.6849 (Toll-free)
+1-617.299.7367 (Int’l))
+1-888.733.6849
Our customer service representatives are available 24 hours, Monday through Friday to assist you.| Reactivity | Human Mouse Rat |
| Tested applications | WB IHC IF |
| Recommended Dilution | WB 1:500 - 1:2000 IHC 1:50 - 1:200 IF 1:10 - 1:100 |
| Calculated MW | 37kDa |
| Observed MW | Refer to Figures |
| Immunogen | Recombinant protein of human AKR1A1 |
| Storage Buffer | Store at -20℃. Avoid freeze / thaw cycles. Buffer: PBS with 0.02% sodium azide, 50% glycerol, pH7.3. |
| Synonym | AKR1A1;ALDR1;ALR;ARM;DD3;MGC12529;MGC1380 ; |

Western blot analysis of extracts of various cell lines ,using AKR1A1 antibody.

Immunohistochemistry of paraffin-embedded rat kidney using AKR1A1 antibody at dilution of 1:100 (400x lens).

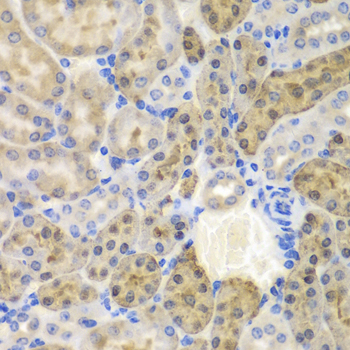
Immunohistochemistry of paraffin-embedded mouse kidney using AKR1A1 antibody at dilution of 1:100 (400x lens).

Immunofluorescence analysis of HeLa cell using AKR1A1 antibody.
This gene encodes a member of the aldo/keto reductase superfamily, which consists of more than 40 known enzymes and proteins. This member, also known as aldehyde reductase, is involved in the reduction of biogenic and xenobiotic aldehydes and is present in virtually every tissue. Multiple alternatively spliced transcript variants of this gene exist, all encoding the same protein. [provided by RefSeq, Jan 2011]
N/A