For quotations, please use our online quotation form, and you may also contact us by
service@kendallscientific.com
+1-888.733.6849 (Toll-free)
+1-617.299.7367 (Int’l))
+1-888.733.6849
Our customer service representatives are available 24 hours, Monday through Friday to assist you.| Reactivity | Human Mouse Rat |
| Tested applications | WB IHC IF |
| Recommended Dilution | WB 1:500 - 1:2000 IHC 1:50 - 1:200 IF 1:50 - 1:200 |
| Calculated MW | 39kDa |
| Observed MW | Refer to Figures |
| Immunogen | Recombinant protein of human ANXA1 |
| Storage Buffer | Store at -20℃. Avoid freeze / thaw cycles. Buffer: PBS with 0.02% sodium azide, 50% glycerol, pH7.3. |
| Concentration | b |
| Synonym | ANXA1;ANX1;LPC1 ; |

Western blot analysis of HeLa cell and NIH3T3 cell lysate using ANXA1 antibody.

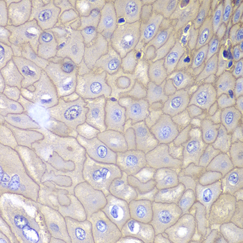
Immunohistochemistry of paraffin-embedded human esophageal using ANXA1 antibody at dilution of 1:100 (400x lens).

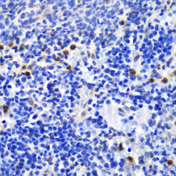
Immunohistochemistry of paraffin-embedded mouse spleen using ANXA1 antibody at dilution of 1:100 (400x lens).

Immunofluorescence analysis of HeLa cell using ANXA1 antibody. Blue: DAPI for nuclear staining.

Immunofluorescence analysis of HeLa cell using ANXA1 antibody. Blue: DAPI for nuclear staining.
The annexin superfamily consists of 13 calcium or calcium and phospholipid binding proteins with high biological and structural homology (1). Annexin-1 (ANXA1) is the first characterized member of the annexin family of proteins and is able to bind to cellular membranes in a calcium-dependent manner, promoting membrane fusion and endocytosis (2-4). Annexin A1 has anti-inflammatory properties and inhibits phospholipase A2 activity (5,6). Annexin A1 can accumulate on internalized vesicles after EGF-stimulated endocytosis and may be required for a late stage in inward vesiculation (7). Phosphorylation by PKC, EGFR, and Chak1 results in inhibition of annexin A1 function (8-10). Annexin A1 has also been identified as one of the 'eat-me' signals on apoptotic cells that are to be recognized and ingested by phagocytes (11). Annexin A1, as an endogenous anti-inflammatory mediator, has roles in many diverse cellular functions, such as membrane aggregation, inflammation, phagocytosis, proliferation, apoptosis, and tumorigenesis and cancer development (12-14).
N/A