For quotations, please use our online quotation form, and you may also contact us by
service@kendallscientific.com
+1-888.733.6849 (Toll-free)
+1-617.299.7367 (Int’l))
+1-888.733.6849
Our customer service representatives are available 24 hours, Monday through Friday to assist you.| Reactivity | Human Mouse Rat |
| Tested applications | WB IHC IF |
| Recommended Dilution | WB 1:500 - 1:2000 IHC 1:50 - 1:200 IF 1:50 - 1:200 |
| Calculated MW | 77kDa |
| Observed MW | Refer to Figures |
| Immunogen | Recombinant protein of human APBB1 |
| Storage Buffer | Store at -20℃. Avoid freeze / thaw cycles. Buffer: PBS with 0.02% sodium azide, 50% glycerol, pH7.3. |
| Concentration | i |
| Synonym | RIR; FE65; MGC:9072 |

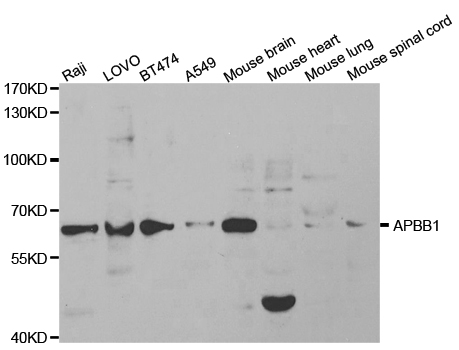
Western blot analysis of extracts of various cell lines, using APBB1 antibody.

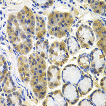
Immunohistochemistry of paraffin-embedded human colon carcinoma using APBB1 antibody at dilution of 1:100 (x400 lens).

Immunofluorescence analysis of U20S cell using APBB1 antibody. Blue: DAPI for nuclear staining.

Immunofluorescence analysis of HeLa cell using APBB1 antibody.
The protein encoded by this gene is a member of the Fe65 protein family. It is an adaptor protein localized in the nucleus. It interacts with the Alzheimer's disease amyloid precursor protein (APP), transcription factor CP2/LSF/LBP1 and the low-density lipoprotein receptor-related protein. APP functions as a cytosolic anchoring site that can prevent the gene product's nuclear translocation. This encoded protein could play an important role in the pathogenesis of Alzheimer's disease. It is thought to regulate transcription. Also it is observed to block cell cycle progression by downregulating thymidylate synthase expression. Multiple alternatively spliced transcript variants encoding different isoforms have been described for this gene.
N/A