For quotations, please use our online quotation form, and you may also contact us by
service@kendallscientific.com
+1-888.733.6849 (Toll-free)
+1-617.299.7367 (Int’l))
+1-888.733.6849
Our customer service representatives are available 24 hours, Monday through Friday to assist you.| Reactivity | Human Mouse Rat |
| Tested applications | WB IHC IF |
| Recommended Dilution | WB 1:500 - 1:2000 IHC 1:50 - 1:200 IF 1:50 - 1:200 |
| Calculated MW | 36kDa |
| Observed MW | Refer to Figures |
| Immunogen | Recombinant protein of human APEX1 |
| Storage Buffer | Store at -20℃. Avoid freeze / thaw cycles. Buffer: PBS with 0.02% sodium azide, 50% glycerol, pH7.3. |
| Concentration | e |
| Synonym | APEX1;APE;APE1;APEN;APEX;APX;HAP1;REF1 ; |

Western blot analysis of extracts of HeLa cell and HepG2 cell, using APEX1 antibody.

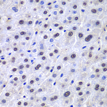
Immunohistochemistry of paraffin-embedded human liver injury using APEX1 antibody at dilution of 1:100 (400x lens).

Immunofluorescence analysis of HeLa cell using APEX1 antibody. Blue: DAPI for nuclear staining.

Immunofluorescence analysis of HeLa cell using APEX1 antibody. Blue: DAPI for nuclear staining.

Immunofluorescence analysis of A549 cell using APEX1 antibody.

Immunofluorescence analysis of A549 cell using APEX1 antibody.
Ape1 (Apurinic/Apyrimidic eEndonuclease 1), also known as Ref1 (Redox effector factor 1), is a multifunctional protein with several biological activities. These include roles in DNA repair and in the cellular response to oxidative stress. Ape1 initiates the repair of abasic sites and is essential for the base excision repair (BER) pathway (1). Repair activities of Ape1 are stimulated by interaction with XRCC1 (2), another essential protein in BER. Ape1 functions as a redox factor that maintains transcription factors in an active, reduced state but can also function in a redox-independent manner as a transcriptional cofactor to control different cellular fates such as apoptosis, proliferation and differentiation (3). Increased expression of Ape1 is associated with many types of cancers including cervical, ovarian, prostate, rhabdomyosarcomas and germ cell tumors (4). Ape1 has been shown to stimulate DNA binding of several transcription factors known to be involved in tumor progression such as Fos, Jun, NF-κB, PAX, HIF-1, HLF and p53 (4). Mutation of the Ape1 gene has also been associated with amyotrophic lateral sclerosis (ALS) (5,6).
N/A