For quotations, please use our online quotation form, and you may also contact us by
service@kendallscientific.com
+1-888.733.6849 (Toll-free)
+1-617.299.7367 (Int’l))
+1-888.733.6849
Our customer service representatives are available 24 hours, Monday through Friday to assist you.| Reactivity | Human Mouse Rat |
| Tested applications | WB IHC IF |
| Recommended Dilution | WB 1:500 - 1:2000 IHC 1:50 - 1:200 IF 1:20 - 1:100 |
| Calculated MW | 47kDa |
| Observed MW | Refer to Figures |
| Immunogen | Recombinant protein of human ARRB1 |
| Storage Buffer | Store at -20℃. Avoid freeze / thaw cycles. Buffer: PBS with 0.02% sodium azide, 50% glycerol, pH7.3. |
| Concentration | m |
| Synonym | ARRB1;ARB1;ARR1 ; |

Western blot analysis of extracts of various cell lines, using ARRB1 antibody.

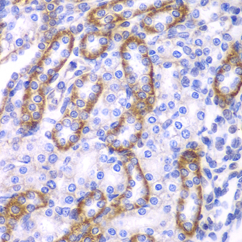
Immunohistochemistry of paraffin-embedded rat kidney using ARRB1 antibody at dilution of 1:100 (400x lens).

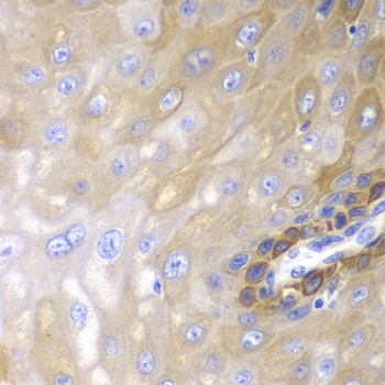
Immunohistochemistry of paraffin-embedded human esophageal using ARRB1 antibody at dilution of 1:100 (400x lens).

Immunofluorescence analysis of HeLa cell using ARRB1 antibody. Blue: DAPI for nuclear staining.
Arrestin proteins function as negative regulators of G protein-coupled receptor (GPCR) signaling. Cognate ligand binding stimulates GPCR phosphorylation, which is followed by binding of arrestin to the phosphorylated GPCR and the eventual internalization of the receptor and desensitization of GPCR signaling (1). Four distinct mammalian arrestin proteins are known. Arrestin 1 (also known as S-arrestin) and arrestin 4 (X-arrestin) are localized to retinal rods and cones, respectively. Arrestin 2 (also known as β-arrestin 1) and arrestin 3 (β-arrestin 2) are ubiquitously expressed and bind to most GPCRs (2). β-arrestins function as adaptor and scaffold proteins and play important roles in other processes, such as recruiting c-Src family proteins to GPCRs in Erk activation pathways (3,4). β-arrestins are also involved in some receptor tyrosine kinase signaling pathways (5-8). Additional evidence suggests that β-arrestins translocate to the nucleus and help regulate transcription by binding transcriptional cofactors (9,10).
N/A