AUH-Polyclonal Antibodies

our services
our products
Quotations & Ordering:

For quotations, please use our online quotation form, and you may also contact us by

service@kendallscientific.com

Phone:

+1-888.733.6849 (Toll-free)
+1-617.299.7367 (Int’l))

Fax:

+1-888.733.6849

Our customer service representatives are available 24 hours, Monday through Friday to assist you.

AUH

Qty


Total
$220
Catalog #
A7424
Antibody Type
Polyclonal Antibody
Gene ID
549
Swiss Prot
Q13825
Size
Species
Rabbit
Isotype
IgG
Purity
Affinity purification
Additional Information
ReactivityHuman Mouse Rat
Tested applicationsWB IHC
Recommended DilutionWB 1:500 - 1:2000 IHC 1:50 - 1:200
Calculated MW36kDa
Observed MWRefer to figures
ImmunogenRecombinant protein of human AUH
Storage BufferStore at -20℃. Avoid freeze / thaw cycles. Buffer: PBS with 0.02% sodium azide, 50% glycerol, pH7.3.
Images
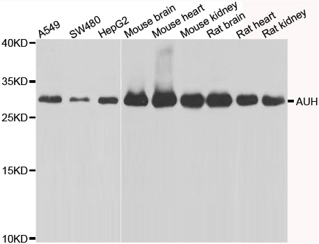
  • A7424: image 1

    Western blot analysis of extracts of various cell lines, using AUH antibody.

  • A7424: image 2

    Immunohistochemistry of paraffin-embedded rat kidney using AUH antibody at dilution of 1:100 (x400 lens).

Background

The methylglutaconyl-CoA hydratase, mitochondrial protein binds to the AU-rich element (ARE), a common element found in the 3' UTR of rapidly decaying mRNA such as c-fos, c-myc and granulocyte/ macrophage colony stimulating factor. ARE elements are involved in directing RNA to rapid degradation and deadenylation. AUH is also homologous to enol-CoA hydratase, an enzyme involved in fatty acid degradation, and has been shown to have intrinsic hydratase enzymatic activity. AUH is thus a bifunctional chimera between RNA binding and metabolic enzyme activity. A possible subcellular localization in the mitochondria has been demonstrated for the mouse homolog of this protein which shares 92% identity with the human protein. It has been suggested that AUH may have a novel role as a mitochondrial located AU-binding protein. Human AUH is expressed as a single mRNA species of 1.8 kb, and translated as a 40-kDa precursor protein which is subsequently processed to a 32-kDa mature form.

Protocol

N/A

MSDS
Reviews
Kendall Scientific welcomes feedback from its customers.

If you have used an our product and would like to share how it has performed, please click on the "Submit Review" button and provide the requested information.

If you have any additional inquiries please email technical services at info@kendallscientific.com.

Thank you for your support.

promotions

Image

Custom Monoclonal Antibody
MassAb Technologies
Image
Free Trial Custom Polyclonal Antibody
You will receive free purified antibodies for validation
Image
Custom Peptides Synthesis

Start from $40/each

new technologies

Image
Optimized for enhanced
expression levels
XPromoter 2.0
Image
E.coli/insect cells/293 & CHO

3 in 1 expression system
Image
MassAb Technologies

Cover All Epitopes