For quotations, please use our online quotation form, and you may also contact us by
service@kendallscientific.com
+1-888.733.6849 (Toll-free)
+1-617.299.7367 (Int’l))
+1-888.733.6849
Our customer service representatives are available 24 hours, Monday through Friday to assist you.| Reactivity | Human Mouse Rat |
| Tested applications | WB IHC IF IP |
| Recommended Dilution | WB 1:500 - 1:2000 IHC 1:50 - 1:100 IF 1:50 - 1:200 IP 1:20 - 1:50 |
| Calculated MW | 26kDa |
| Observed MW | Refer to Figures |
| Immunogen | A synthetic peptide of human BCL2 |
| Storage Buffer | Store at -20℃. Avoid freeze / thaw cycles. Buffer: PBS with 0.02% sodium azide, 50% glycerol, pH7.3. |
| Concentration | bi |
| Synonym | BCL2;Bcl-2 ;ONCOGENE B-CELL LEUKEMIA 2; Apoptosis regulator Bcl-2 |

Western blot analysis of extracts of various cell lines using BCL2 antibody.

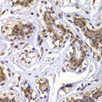
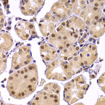
Immunohistochemistry of paraffin-embedded human breast using BCL2 antibody at dilution of 1:100 (x40 lens).

Immunohistochemistry of paraffin-embedded human stomach using BCL2 antibody at dilution of 1:100 (x40 lens).

Immunohistochemistry of paraffin-embedded mouse lung using BCL2 antibody at dilution of 1:100 (x40 lens).

Immunohistochemistry of paraffin-embedded human liver cancer using BCL2 antibody at dilution of 1:100 (x40 lens).

Immunohistochemistry of paraffin-embedded human gastric cancer using BCL2 antibody at dilution of 1:100 (x40 lens).

Immunohistochemistry of paraffin-embedded human lung cancer using BCL2 antibody at dilution of 1:100 (x40 lens).

Immunohistochemistry of paraffin-embedded human prostate using BCL2 antibody at dilution of 1:100 (x40 lens).

Immunohistochemistry of paraffin-embedded mouse heart using BCL2 antibody at dilution of 1:100 (x40 lens).

Immunohistochemistry of paraffin-embedded human esophagus using Bcl2 antibody.

Immunofluorescence analysis of A549 cell using BCL2 antibody. Blue: DAPI for nuclear staining.
BCL2 exerts a survival function in response to a wide range of apoptotic stimuli through inhibition of mitochondrial cytochrome c release (1). It has been implicated in modulating mitochondrial calcium homeostasis and proton flux (2). Several phosphorylation sites have been identified within BCL2 including Thr56, Ser70, Thr74 and Ser87 (3). It has been suggested that these phosphorylation sites may be targets of the ASK1/MKK7/JNK1 pathway, and that phosphorylation of BCL2 may be a marker for mitotic events (4,5). Mutation of BCL2 at Thr56 or Ser87 inhibits its anti-apoptotic activity during glucocorticoid-induced apoptosis of T lymphocytes (6). Interleukin 3 and JNK-induced BCL2 phosphorylation at Ser70 may be required for its enhanced anti-apoptotic functions (7).
N/A