For quotations, please use our online quotation form, and you may also contact us by
service@kendallscientific.com
+1-888.733.6849 (Toll-free)
+1-617.299.7367 (Int’l))
+1-888.733.6849
Our customer service representatives are available 24 hours, Monday through Friday to assist you.| Reactivity | Human |
| Tested applications | WB IHC |
| Recommended Dilution | WB 1:500 - 1:2000 IHC 1:50 - 1:100 |
| Calculated MW | 22kDa |
| Observed MW | Refer to figures |
| Immunogen | Recombinant protein of human BLVRB |
| Storage Buffer | Store at -20℃. Avoid freeze / thaw cycles. Buffer: PBS with 0.02% sodium azide, 50% glycerol, pH7.3. |
| Synonym | FLR; BVRB; SDR43U1; HEL-S-10; |

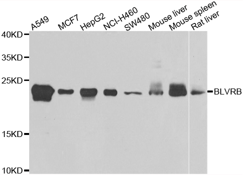
Western blot analysis of extracts of various cell lines, using BLVRB antibody.

Immunohistochemistry of paraffin-embedded human liver cancer using BLVRB antibody at dilution of 1:100 (40x lens).

Immunohistochemistry of paraffin-embedded human stomach using BLVRB antibody at dilution of 1:100 (40x lens).
The final step in heme metabolism in mammals is catalyzed by the cytosolic biliverdin reductase enzymes A and B (EC 1.3.1.24).
N/A