For quotations, please use our online quotation form, and you may also contact us by
service@kendallscientific.com
+1-888.733.6849 (Toll-free)
+1-617.299.7367 (Int’l))
+1-888.733.6849
Our customer service representatives are available 24 hours, Monday through Friday to assist you.| Reactivity | Human Mouse Rat |
| Tested applications | WB IHC IF |
| Recommended Dilution | WB 1:500 - 1:2000 IHC 1:50 - 1:200 IF 1:50 - 1:200 |
| Calculated MW | 57kDa |
| Observed MW | Refer to Figures |
| Immunogen | Recombinant protein of human BMPR1B |
| Storage Buffer | Store at -20℃. Avoid freeze / thaw cycles. Buffer: PBS with 0.02% sodium azide, 50% glycerol, pH7.3. |
| Synonym | ALK6; ALK-6; CDw293; |

Western blot analysis of extracts of mouse brain cell lines, using BMPR1B antibody.

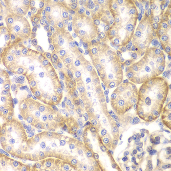
Immunohistochemistry of paraffin-embedded rat kidney using BMPR1B antibody at dilution of 1:200 (400x lens).

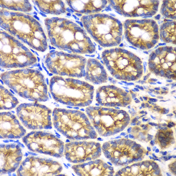
Immunohistochemistry of paraffin-embedded rat Intestine using BMPR1B antibody at dilution of 1:200 (400x lens).

Immunofluorescence analysis of MCF7 cell using BMPR1B antibody. Blue: DAPI for nuclear staining.
This gene encodes a member of the bone morphogenetic protein (BMP) receptor family of transmembrane serine/threonine kinases. The ligands of this receptor are BMPs, which are members of the TGF-beta superfamily. BMPs are involved in endochondral bone formation and embryogenesis. These proteins transduce their signals through the formation of heteromeric complexes of 2 different types of serine (threonine) kinase receptors: type I receptors of about 50-55 kD and type II receptors of about 70-80 kD. Type II receptors bind ligands in the absence of type I receptors, but they require their respective type I receptors for signaling, whereas type I receptors require their respective type II receptors for ligand binding. Mutations in this gene have been associated with primary pulmonary hypertension. Several transcript variants encoding two different isoforms have been found for this gene. [provided by RefSeq, Feb 2012]
N/A