BTRC-Polyclonal Antibodies

our services
our products
Quotations & Ordering:

For quotations, please use our online quotation form, and you may also contact us by

service@kendallscientific.com

Phone:

+1-888.733.6849 (Toll-free)
+1-617.299.7367 (Int’l))

Fax:

+1-888.733.6849

Our customer service representatives are available 24 hours, Monday through Friday to assist you.

BTRC

Qty


Total
$220
Catalog #
A1656
Antibody Type
Polyclonal Antibody
Gene ID
8945
Swiss Prot
Q9Y297
Size
Species
Rabbit
Isotype
IgG
Purity
Affinity purification
Additional Information
ReactivityHuman Mouse Rat
Tested applicationsWB IHC IF
Recommended DilutionWB 1:500 - 1:2000 IHC 1:50 - 1:200 IF 1:10 - 1:100
Calculated MW69kDa
Observed MWRefer to Figures
ImmunogenRecombinant protein of human BTRC
Storage BufferStore at -20℃. Avoid freeze / thaw cycles. Buffer: PBS with 0.02% sodium azide, 50% glycerol, pH7.3.
Concentrationdmpt
SynonymBETA-TRCP; FBW1A; FBXW1; FBXW1A; FWD1; MGC4643; bTrCP; bTrCP1; betaTrCP;
Images
  • A1656: image 1

    Western blot analysis of extracts of BT474 cell line, using BTRC antibody.

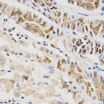
  • A1656: image 2

    Immunohistochemistry of paraffin-embedded human stomach using BTRC antibody at dilution of 1:200 (x400 lens)

Background

β-transducin repeat-containing protein (β-TrCP or FBW1A) is an F-box family protein characterized by the presence of the protein-protein mediating F-box domain first described in cyclin F. F-box proteins act as substrate adaptors that target proteins containing a specific phosphorylated sequence element, referred to as a phosphodegron, to the SCF E3 ubiquitin ligase complex for ubiquitination (1,2). β-TrCP targets many important proteins with diverse functions, such as p53, H-Ras, Smad4, IκBα, β-catenin, and the cell cycle checkpoint protein claspin, for ubiquitin-mediated degradation (3-5). Research studies have shown that inhibition of β-TrCP expression has a demonstrated benefit in the treatment of prostate cancer (6).

Protocol

N/A

MSDS
Reviews
Kendall Scientific welcomes feedback from its customers.

If you have used an our product and would like to share how it has performed, please click on the "Submit Review" button and provide the requested information.

If you have any additional inquiries please email technical services at info@kendallscientific.com.

Thank you for your support.

promotions

Image

Custom Monoclonal Antibody
MassAb Technologies
Image
Free Trial Custom Polyclonal Antibody
You will receive free purified antibodies for validation
Image
Custom Peptides Synthesis

Start from $40/each

new technologies

Image
Optimized for enhanced
expression levels
XPromoter 2.0
Image
E.coli/insect cells/293 & CHO

3 in 1 expression system
Image
MassAb Technologies

Cover All Epitopes