CAMP-Polyclonal Antibodies

our services
our products
Quotations & Ordering:

For quotations, please use our online quotation form, and you may also contact us by

service@kendallscientific.com

Phone:

+1-888.733.6849 (Toll-free)
+1-617.299.7367 (Int’l))

Fax:

+1-888.733.6849

Our customer service representatives are available 24 hours, Monday through Friday to assist you.

CAMP

Qty


Total
$220
Catalog #
A1640
Antibody Type
Polyclonal Antibody
Gene ID
820
Swiss Prot
P49913
Size
Species
Rabbit
Isotype
IgG
Purity
Affinity purification
Additional Information
ReactivityHuman Mouse
Tested applicationsWB IHC
Recommended DilutionWB 1:500 - 1:2000 IHC 1:50 - 1:200
Calculated MW19kDa
Observed MWRefer to Figures
ImmunogenRecombinant protein of human CAMP
Storage BufferStore at -20℃. Avoid freeze / thaw cycles. Buffer: PBS with 0.02% sodium azide, 50% glycerol, pH7.3.
SynonymLL37; CAP18; CRAMP; HSD26; CAP-18; FALL39; FALL-39;
Images
  • A1640: image 1

    Western blot analysis of extracts of mouse liver tissue, using CAMP antibody.

  • A1640: image 2

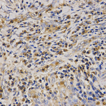
    Immunohistochemistry of paraffin-embedded human lung cancer using CAMP antibody at dilution of 1:200 (x400 lens)

Background

This gene encodes a member of an antimicrobial peptide family, characterized by a highly conserved N-terminal signal peptide containing a cathelin domain and a structurally variable cationic antimicrobial peptide, which is produced by extracellular proteolysis from the C-terminus. The encoded protein has several functions in addition to antimicrobial activity, including cell chemotaxis, immune mediator induction and inflammatory response regulation. [provided by RefSeq, Aug 2011]

Protocol

N/A

MSDS
Reviews
Kendall Scientific welcomes feedback from its customers.

If you have used an our product and would like to share how it has performed, please click on the "Submit Review" button and provide the requested information.

If you have any additional inquiries please email technical services at info@kendallscientific.com.

Thank you for your support.

promotions

Image

Custom Monoclonal Antibody
MassAb Technologies
Image
Free Trial Custom Polyclonal Antibody
You will receive free purified antibodies for validation
Image
Custom Peptides Synthesis

Start from $40/each

new technologies

Image
Optimized for enhanced
expression levels
XPromoter 2.0
Image
E.coli/insect cells/293 & CHO

3 in 1 expression system
Image
MassAb Technologies

Cover All Epitopes