CAPN3-Polyclonal Antibodies

our services
our products
Quotations & Ordering:

For quotations, please use our online quotation form, and you may also contact us by

service@kendallscientific.com

Phone:

+1-888.733.6849 (Toll-free)
+1-617.299.7367 (Int’l))

Fax:

+1-888.733.6849

Our customer service representatives are available 24 hours, Monday through Friday to assist you.

CAPN3

Qty


Total
$220
Catalog #
A1893
Antibody Type
Polyclonal Antibody
Gene ID
825
Swiss Prot
P20807
Size
Species
Rabbit
Isotype
IgG
Purity
Affinity purification
Additional Information
ReactivityHuman Mouse Rat
Tested applicationsWB IHC
Recommended DilutionWB 1:500 - 1:2000 IHC 1:50 - 1:200
Calculated MW94kDa
Observed MWRefer to figures
ImmunogenRecombinant protein of human CAPN3
Storage BufferStore at -20℃. Avoid freeze / thaw cycles. Buffer: PBS with 0.02% sodium azide, 50% glycerol, pH7.3.
Synonymp94; CANP3; LGMD2; nCL-1; CANPL3; LGMD2A;
Images
  • A1893: image 1

    Western blot analysis of extracts of HepG2 cells, using CAPN3 antibody.

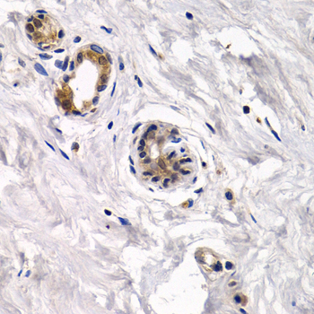
  • A1893: image 2

    Immunohistochemistry of paraffin-embedded human normal breast using CAPN3 antibody at dilution of 1:200 (400x lens).

Background

Calpain, a heterodimer consisting of a large and a small subunit, is a major intracellular protease, although its function has not been well established. This gene encodes a muscle-specific member of the calpain large subunit family that specifically binds to titin. Mutations in this gene are associated with limb-girdle muscular dystrophies type 2A. Alternate promoters and alternative splicing result in multiple transcript variants encoding different isoforms and some variants are ubiquitously expressed.

Protocol

N/A

MSDS
Reviews
Kendall Scientific welcomes feedback from its customers.

If you have used an our product and would like to share how it has performed, please click on the "Submit Review" button and provide the requested information.

If you have any additional inquiries please email technical services at info@kendallscientific.com.

Thank you for your support.

promotions

Image

Custom Monoclonal Antibody
MassAb Technologies
Image
Free Trial Custom Polyclonal Antibody
You will receive free purified antibodies for validation
Image
Custom Peptides Synthesis

Start from $40/each

new technologies

Image
Optimized for enhanced
expression levels
XPromoter 2.0
Image
E.coli/insect cells/293 & CHO

3 in 1 expression system
Image
MassAb Technologies

Cover All Epitopes