For quotations, please use our online quotation form, and you may also contact us by
service@kendallscientific.com
+1-888.733.6849 (Toll-free)
+1-617.299.7367 (Int’l))
+1-888.733.6849
Our customer service representatives are available 24 hours, Monday through Friday to assist you.| Reactivity | Human Mouse Rat |
| Tested applications | WB IHC ICC IF IP |
| Recommended Dilution | WB 1:500 - 1:2000 IHC 1:50 - 1:200 ICC 1:50 - 1:100 IF 1:50 - 1:200 IP 1:50 - 1:100 |
| Calculated MW | 34kDa |
| Observed MW | Refer to Figures |
| Immunogen | Recombinant protein of human CASP7 |
| Storage Buffer | Store at -20℃. Avoid freeze / thaw cycles. Buffer: PBS with 0.02% sodium azide, 50% glycerol, pH7.3. |
| Concentration | bi |
| Synonym | CMH-1; ICE-LAP3; MCH3; CASP7; Caspase-7; |

Western blot analysis of extracts of various cell lines, using CASP7 antibody.

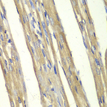
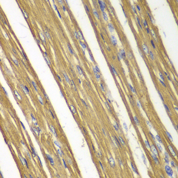
Immunohistochemistry of paraffin-embedded rat heart using Casp7 antibody at dilution of 1:100 (400x lens).

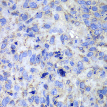
Immunohistochemistry of paraffin-embedded human lung cancer using Casp7 antibody at dilution of 1:100 (400x lens).

Immunohistochemistry of paraffin-embedded rat heart using Casp7 antibody at dilution of 1:100 (400x lens).
Caspase-7 (CMH-1, Mch3, ICE-LAP3) has been identified as a major contributor to the execution of apoptosis (1-4). Caspase-7, like caspase-3, is an effector caspase that is responsible for cleaving downstream substrates such as (ADP-ribose) polymerase and PARP (1,3). During apoptosis, caspase-7 is activated through proteolytic processsing by upstream caspases at Asp23, Asp198, and Asp206 to produce the mature subunits (1,3). Similar to caspases-2 and -3, caspase-7 preferentially cleaves substrates following the recognition sequence DEVD (5).
N/A