For quotations, please use our online quotation form, and you may also contact us by
service@kendallscientific.com
+1-888.733.6849 (Toll-free)
+1-617.299.7367 (Int’l))
+1-888.733.6849
Our customer service representatives are available 24 hours, Monday through Friday to assist you.| Reactivity | Human Mouse Rat |
| Tested applications | WB IHC IF IP ChIP |
| Recommended Dilution | WB 1:500 - 1:2000 IHC 1:50 - 1:200 IF 1:50 - 1:200 IP 1:50 - 1:200 ChIP 1:20 - 1:100 |
| Calculated MW | 22kDa |
| Observed MW | Refer to Figures |
| Immunogen | Recombinant protein of human CBX5 |
| Storage Buffer | Store at -20℃. Avoid freeze / thaw cycles. Buffer: PBS with 0.02% sodium azide, 50% glycerol, pH7.3. |
| Concentration | f |
| Synonym | CBX5;HP1;HP1A ; |

Western blot analysis of extracts of various cell lines, using CBX5 antibody.

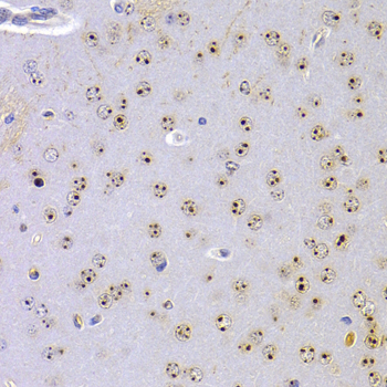
Immunohistochemistry of paraffin-embedded rat hippocampus using CBX5 antibody at dilution of 1:100 (x400 lens).

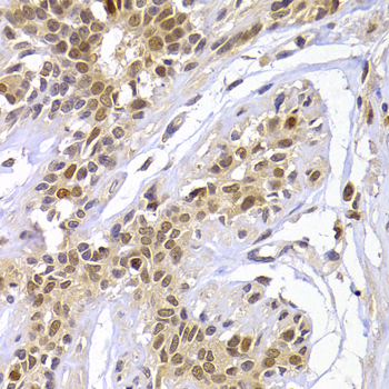
Immunohistochemistry of paraffin-embedded human brain astrocytoma using CBX5 antibody at dilution of 1:100 (x400 lens).

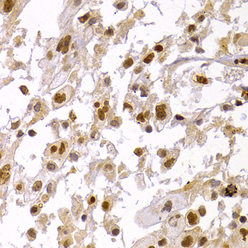
Immunohistochemistry of paraffin-embedded human breast using CBX5 antibody at dilution of 1:100 (x400 lens).

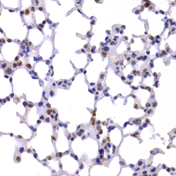
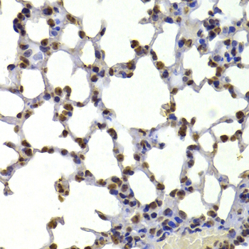
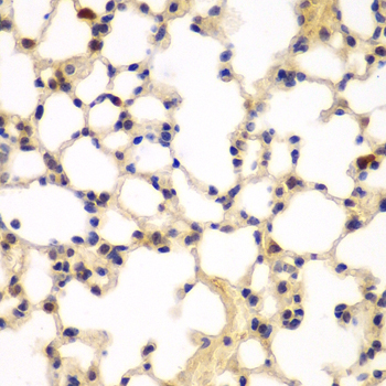
Immunohistochemistry of paraffin-embedded mouse lung using CBX5 antibody at dilution of 1:100 (x400 lens).

Immunohistochemistry of paraffin-embedded mouse brain using CBX5 antibody at dilution of 1:100 (x400 lens).

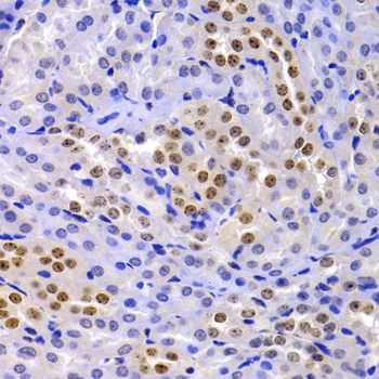
Immunohistochemistry of paraffin-embedded mouse kidney using CBX5 antibody at dilution of 1:100 (x400 lens).

Immunohistochemistry of paraffin-embedded mouse lung using CBX5 antibody at dilution of 1:100 (x400 lens).

Immunohistochemistry of paraffin-embedded mouse lung using CBX5 antibody at dilution of 1:100 (400x lens).

Immunofluorescence analysis of HeLa cell using CBX5 antibody. Blue: DAPI for nuclear staining.
Heterochromatin protein 1 (HP1) is a family of heterochromatic adaptor molecules involved in both gene silencing and higher order chromatin structure (1). All three HP1 family members (α, β, and γ) are primarily associated with centromeric heterochromatin; however, HP1β and γ also localize to euchromatic sites in the genome (2,3). HP1 proteins are approximately 25 kDa in size and contain a conserved amino-terminal chromodomain, followed by a variable hinge region and a conserved carboxy-terminal chromoshadow domain. The chromodomain facilitates binding to histone H3 tri-methylated at Lys9, a histone "mark" closely associated with centromeric heterochromatin (4,5). The variable hinge region binds both RNA and DNA in a sequence-independent manner (6). The chromoshadow domain mediates the dimerization of HP1 proteins, in addition to binding multiple proteins implicated in gene silencing and heterochromatin formation, including the SUV39H histone methyltransferase, the DNMT1 and DNMT3a DNA methyltransferases, and the p150 subunit of chromatin-assembly factor-1 (CAF1) (7-9). In addition to contributing to heterochromatin formation and propagation, HP1 and SUV39H are also found complexed with retinoblastoma (Rb) and E2F6 proteins, both of which function to repress euchromatic gene transcription in quiescent cells (10,11). HP1 proteins are subject to multiple types of post-translational modifications, including phosphorylation, acetylation, methylation, ubiquitination, and sumoylation, suggesting multiple means of regulation (12-14).
N/A