CD151-Polyclonal Antibodies

our services
our products
Quotations & Ordering:

For quotations, please use our online quotation form, and you may also contact us by

service@kendallscientific.com

Phone:

+1-888.733.6849 (Toll-free)
+1-617.299.7367 (Int’l))

Fax:

+1-888.733.6849

Our customer service representatives are available 24 hours, Monday through Friday to assist you.

CD151

Qty


Total
$220
Catalog #
A1930
Antibody Type
Polyclonal Antibody
Gene ID
977
Swiss Prot
P48509
Size
Species
Rabbit
Isotype
IgG
Purity
Affinity purification
Additional Information
ReactivityHuman Mouse Rat
Tested applicationsWB IHC
Recommended DilutionWB 1:500 - 1:2000 IHC 1:50 - 1:200
Calculated MW28kDa
Observed MWRefer to Figures
ImmunogenRecombinant protein of human CD151
Storage BufferStore at -20℃. Avoid freeze / thaw cycles. Buffer: PBS with 0.02% sodium azide, 50% glycerol, pH7.3.
SynonymGP27; MER2; RAPH; SFA1; PETA-3; TSPAN24;
Images
  • A1930: image 1

    Western blot analysis of extracts of various cell lines, using CD151 antibody.

  • A1930: image 2

    Immunohistochemistry of paraffin-embedded rat kidney using CD151 antibody at dilution of 1:200 (400x lens).

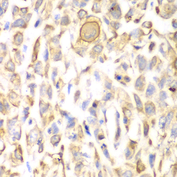
  • A1930: image 3

    Immunohistochemistry of paraffin-embedded human lung cancer using CD151 antibody at dilution of 1:200 (400x lens).

Background

The protein encoded by this gene is a member of the transmembrane 4 superfamily, also known as the tetraspanin family. Most of these members are cell-surface proteins that are characterized by the presence of four hydrophobic domains. The proteins mediate signal transduction events that play a role in the regulation of cell development, activation, growth and motility. This encoded protein is a cell surface glycoprotein that is known to complex with integrins and other transmembrane 4 superfamily proteins. It is involved in cellular processes including cell adhesion and may regulate integrin trafficking and/or function. This protein enhances cell motility, invasion and metastasis of cancer cells. Multiple alternatively spliced transcript variants that encode the same protein have been described for this gene.

Protocol

N/A

MSDS
Reviews
Kendall Scientific welcomes feedback from its customers.

If you have used an our product and would like to share how it has performed, please click on the "Submit Review" button and provide the requested information.

If you have any additional inquiries please email technical services at info@kendallscientific.com.

Thank you for your support.

promotions

Image

Custom Monoclonal Antibody
MassAb Technologies
Image
Free Trial Custom Polyclonal Antibody
You will receive free purified antibodies for validation
Image
Custom Peptides Synthesis

Start from $40/each

new technologies

Image
Optimized for enhanced
expression levels
XPromoter 2.0
Image
E.coli/insect cells/293 & CHO

3 in 1 expression system
Image
MassAb Technologies

Cover All Epitopes