For quotations, please use our online quotation form, and you may also contact us by
service@kendallscientific.com
+1-888.733.6849 (Toll-free)
+1-617.299.7367 (Int’l))
+1-888.733.6849
Our customer service representatives are available 24 hours, Monday through Friday to assist you.| Reactivity | Human Mouse Rat |
| Tested applications | WB IHC |
| Recommended Dilution | WB 1:500 - 1:1000 IHC 1:50 - 1:100 |
| Calculated MW | 31kDa |
| Observed MW | Refer to Figures |
| Immunogen | A synthetic peptide of human CDK20 |
| Storage Buffer | Store at -20℃. Avoid freeze / thaw cycles. Buffer: PBS with 0.02% sodium azide, 50% glycerol, pH7.3. |
| Synonym | P42; CCRK; CDCH; PNQALRE; |

Western blot analysis of extracts of various cell lines, using CDK20 antibody.

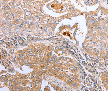
Immunohistochemistry of paraffin-embedded human lung cancer tissue using CDK20 antibody.

Immunohistochemistry of paraffin-embedded rat spleen tissue using CDK20 antibody at dilution of 1:200 (x400 lens).

Immunohistochemistry of paraffin-embedded Human kidney using CDK20 antibody at dilution of 1:100 (x400 lens).

Immunohistochemistry of paraffin-embedded liver cancer using CDK20 antibody at dilution of 1:100 (x400 lens).
The protein encoded by this gene contains a kinase domain most closely related to the cyclin-dependent protein kinases. The encoded kinase may activate cyclin-dependent kinase 2 and is involved in cell growth. Alternatively spliced transcript variants encoding distinct isoforms have been reported.
N/A