For quotations, please use our online quotation form, and you may also contact us by
service@kendallscientific.com
+1-888.733.6849 (Toll-free)
+1-617.299.7367 (Int’l))
+1-888.733.6849
Our customer service representatives are available 24 hours, Monday through Friday to assist you.| Reactivity | Human Mouse Rat |
| Tested applications | WB IHC IF |
| Recommended Dilution | WB 1:500 - 1:2000 IHC 1:50 - 1:200 IF 1:20 - 1:100 |
| Calculated MW | 34kDa |
| Observed MW | Refer to Figures |
| Immunogen | Recombinant protein of human CDK4 |
| Storage Buffer | Store at -20℃. Avoid freeze / thaw cycles. Buffer: PBS with 0.02% sodium azide, 50% glycerol, pH7.3. |
| Synonym | CDK4;CMM3;MGC14458;PSK-J3 ; |

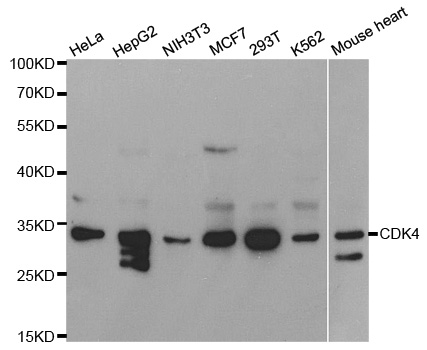
Western blot analysis of extracts of various cell lines, using CDK4 antibody.

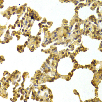
Immunohistochemistry of paraffin-embedded rat lung using CDK4 antibody at dilution of 1:100 (x400 lens).

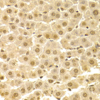
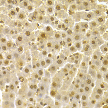
Immunohistochemistry of paraffin-embedded rat liver using CDK4 antibody at dilution of 1:100 (x400 lens).

Immunohistochemistry of paraffin-embedded rat kidney using CDK4 antibody at dilution of 1:100 (x400 lens).

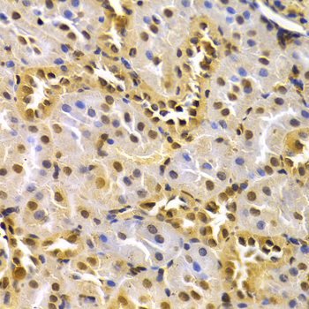
Immunohistochemistry of paraffin-embedded human liver injury using CDK4 antibody at dilution of 1:100 (x400 lens).
Cyclin-dependent kinase activity is regulated by T-loop phosphorylation (Thr172 in the case of CDK4), by the abundance of their cyclin partners, and by association with CDK inhibitors of the Cip/Kip or INK family of proteins (1). The inactive ternary complex of CDK4/cyclin D and p27 Kip1/Cip1 requires extracellular mitogenic stimuli for the release and degradation of p27, which affects progression through the restriction point and pRb-dependent entry into S-phase (2). The active complex of CDK4/cyclin D targets the retinoblastoma protein for phosphorylation, allowing the release of E2F transcription factors that activate G1/S-phase gene expression (3). In HeLa cells, upon UV irradiation, upregulation of p16 INK4A association with CDK4/cyclin D3 leads to a G2 delay, implicating CDK4/cyclin D3 activity in progression through the G2-phase of the cell cycle (4).
N/A