For quotations, please use our online quotation form, and you may also contact us by
service@kendallscientific.com
+1-888.733.6849 (Toll-free)
+1-617.299.7367 (Int’l))
+1-888.733.6849
Our customer service representatives are available 24 hours, Monday through Friday to assist you.| Reactivity | Human Mouse Rat |
| Tested applications | WB IHC IF |
| Recommended Dilution | WB 1:500 - 1:2000 IHC 1:50 - 1:200 IF 1:50 - 1:200 |
| Calculated MW | 36kDa |
| Observed MW | Refer to Figures |
| Immunogen | Recombinant protein of human CDK6 |
| Storage Buffer | Store at -20℃. Avoid freeze / thaw cycles. Buffer: PBS with 0.02% sodium azide, 50% glycerol, pH7.3. |
| Concentration | df |
| Synonym | MGC59692; PLSTIRE; |

Western blot analysis of extracts of various cell lines, using CDK6 antibody.

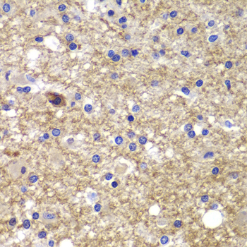
Immunohistochemistry of paraffin-embedded human brain cancer using CDK6 antibody at dilution of 1:100 (x400 lens).

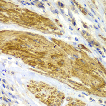
Immunohistochemistry of paraffin-embedded human gastric cancer using CDK6 antibody at dilution of 1:100 (x400 lens).

Immunofluorescence analysis of MCF7 cell using CDK6 antibody. Blue: DAPI for nuclear staining.
The cyclin-dependent kinases form complexes with their cyclin partners and with CDK inhibitors. CDK6 and CDK4 associate with the D-type cyclins and target the retinoblastoma protein, allowing passage through the G1/S phase restriction point (1). CDK6/cyclin D complexes are sequestered in their inactive form through binding to one of the INK4 CDK inhibitor family members (2,3). Unlike the INK4 family of cdk inhibitors, the CDK inhibitor p21 Waf1/Cip1 may enhance the association of CDK4 and CDK6 with their cyclin D partners (4).
N/A