For quotations, please use our online quotation form, and you may also contact us by
service@kendallscientific.com
+1-888.733.6849 (Toll-free)
+1-617.299.7367 (Int’l))
+1-888.733.6849
Our customer service representatives are available 24 hours, Monday through Friday to assist you.| Reactivity | Human Mouse |
| Tested applications | WB IHC |
| Recommended Dilution | WB 1:500 - 1:2000 IHC 1:50 - 1:200 |
| Calculated MW | 106kDa |
| Observed MW | Refer to figures |
| Immunogen | Recombinant protein of human CENPC |
| Storage Buffer | Store at -20℃. Avoid freeze / thaw cycles. Buffer: PBS with 0.02% sodium azide, 50% glycerol, pH7.3. |
| Synonym | MIF2; hcp-4; CENP-C; CENPC1; |

Western blot analysis of extracts of various cell lines, using CENPC antibody.

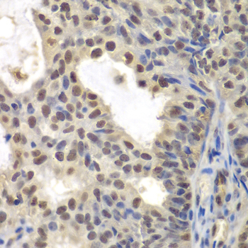
Immunohistochemistry of paraffin-embedded human oophoroma using CENPC antibody at dilution of 1:200 (400x lens).

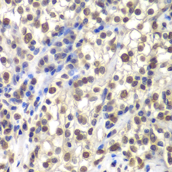
Immunohistochemistry of paraffin-embedded human kidney cancer using CENPC antibody at dilution of 1:200 (400x lens).
Centromere protein C 1 is a centromere autoantigen and a component of the inner kinetochore plate. The protein is required for maintaining proper kinetochore size and a timely transition to anaphase. A putative pseudogene exists on chromosome 12.
N/A