CFB-Polyclonal Antibodies

our services
our products
Quotations & Ordering:

For quotations, please use our online quotation form, and you may also contact us by

service@kendallscientific.com

Phone:

+1-888.733.6849 (Toll-free)
+1-617.299.7367 (Int’l))

Fax:

+1-888.733.6849

Our customer service representatives are available 24 hours, Monday through Friday to assist you.

CFB

Qty


Total
$220
Catalog #
A1706
Antibody Type
Polyclonal Antibody
Gene ID
629
Swiss Prot
P00751
Size
Species
Rabbit
Isotype
IgG
Purity
Affinity purification
Additional Information
ReactivityHuman Mouse Rat
Tested applicationsWB IHC
Recommended DilutionWB 1:500 - 1:2000 IHC 1:50 - 1:200
Calculated MW86kDa
Observed MWRefer to Figures
ImmunogenRecombinant protein of human CFB
Storage BufferStore at -20℃. Avoid freeze / thaw cycles. Buffer: PBS with 0.02% sodium azide, 50% glycerol, pH7.3.
SynonymBF; FB; BFD; GBG; CFAB; PBF2; AHUS4; FBI12; H2-Bf
Images
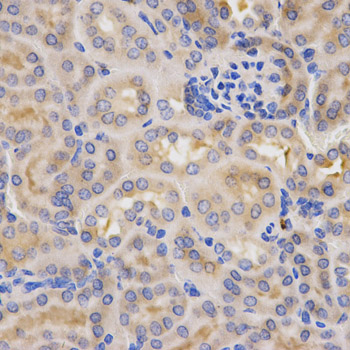
  • A1706: image 1

    Western blot analysis of extracts of various cell lines, using CFB antibody.

  • A1706: image 2

    Immunohistochemistry of paraffin-embedded mouse kidney using CFB antibody at dilution of 1:200 (x400 lens)

Background

This gene encodes complement factor B, a component of the alternative pathway of complement activation. Factor B circulates in the blood as a single chain polypeptide. Upon activation of the alternative pathway, it is cleaved by complement factor D yielding the noncatalytic chain Ba and the catalytic subunit Bb. The active subunit Bb is a serine protease which associates with C3b to form the alternative pathway C3 convertase. Bb is involved in the proliferation of preactivated B lymphocytes, while Ba inhibits their proliferation. This gene localizes to the major histocompatibility complex (MHC) class III region on chromosome 6. This cluster includes several genes involved in regulation of the immune reaction. Polymorphisms in this gene are associated with a reduced risk of age-related macular degeneration. The polyadenylation site of this gene is 421 bp from the 5' end of the gene for complement component 2.

Protocol

N/A

MSDS
Reviews
Kendall Scientific welcomes feedback from its customers.

If you have used an our product and would like to share how it has performed, please click on the "Submit Review" button and provide the requested information.

If you have any additional inquiries please email technical services at info@kendallscientific.com.

Thank you for your support.

promotions

Image

Custom Monoclonal Antibody
MassAb Technologies
Image
Free Trial Custom Polyclonal Antibody
You will receive free purified antibodies for validation
Image
Custom Peptides Synthesis

Start from $40/each

new technologies

Image
Optimized for enhanced
expression levels
XPromoter 2.0
Image
E.coli/insect cells/293 & CHO

3 in 1 expression system
Image
MassAb Technologies

Cover All Epitopes