CFLAR-Polyclonal Antibodies

our services
our products
Quotations & Ordering:

For quotations, please use our online quotation form, and you may also contact us by

service@kendallscientific.com

Phone:

+1-888.733.6849 (Toll-free)
+1-617.299.7367 (Int’l))

Fax:

+1-888.733.6849

Our customer service representatives are available 24 hours, Monday through Friday to assist you.

CFLAR

Qty


Total
$220
Catalog #
A2555
Antibody Type
Polyclonal Antibody
Gene ID
8837
Swiss Prot
O15519
Size
Species
Rabbit
Isotype
IgG
Purity
Affinity purification
Additional Information
ReactivityHuman Mouse Rat
Tested applicationsWB IHC
Recommended DilutionWB 1:500 - 1:2000 IHC 1:50 - 1:200
Calculated MW52kDa
Observed MWRefer to Figures
ImmunogenRecombinant protein of human CFLAR
Storage BufferStore at -20℃. Avoid freeze / thaw cycles. Buffer: PBS with 0.02% sodium azide, 50% glycerol, pH7.3.
Concentrationb
SynonymCASH; CASP8AP1; CLARP; Casper; FLAME; FLAME-1; FLAME1; FLIP; I-FLICE; MRIT; c-FLIP; c-FLIPL; c-FLIPR; c-FLIPS;
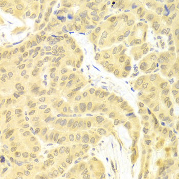
Images
  • A2555: image 1

    Western blot analysis of extracts of various tissues, using CFLAR antibody.

  • A2555: image 2

    Immunohistochemistry of paraffin-embedded human thyroid cancer using CFLAR antibody at dilution of 1:100 (x400 lens).

Background

Cellular FLIP (FLICE inhibitory protein) is a regulator of apoptosis that has various names, such as c-FLIP (1), Casper (2), CLARP (3), FLAME (4), I-FLICE (5), MRIT (6), CASH (7), and Usurpin (8). FLIP is expressed as two alternative splice isoforms, FLIP short (FLIPS) and FLIP long (FLIPL). FLIPS contains two death effector domains (DEDs) like those found on the death receptor adaptor protein FADD and the pro-domain of caspase-8. FLIPL shares significant homology with caspase-8 (FLICE), and contains an additional death effector domain, but FLIPL lacks the catalytic active site of the caspases and does not have protease activity. Both FLIP isoforms have been reported to interact with FADD and pro-caspase-8. The role of FLIP in apoptosis is controversial as some research studies have reported it to be anti-apoptotic, while others claim that it is pro-apoptotic. Overexpression of FLIPL can lead to caspase-8 heterodimers that produce an active protease, resulting in apoptosis. However, at physiological levels, it is thought that the binding of FLIP to the DED of FADD results in inhibition of caspase-8 processing. Reduction of FLIP by siRNA or gene targeting sensitizes cells to death receptor-mediated apoptosis. FLIP has also been implicated in the resistance of cancer cells to apoptosis and is upregulated in some cancer types including Hodgkin's lymphoma and ovarian and colon carcinomas (9).

Protocol

N/A

MSDS
Reviews
Kendall Scientific welcomes feedback from its customers.

If you have used an our product and would like to share how it has performed, please click on the "Submit Review" button and provide the requested information.

If you have any additional inquiries please email technical services at info@kendallscientific.com.

Thank you for your support.

promotions

Image

Custom Monoclonal Antibody
MassAb Technologies
Image
Free Trial Custom Polyclonal Antibody
You will receive free purified antibodies for validation
Image
Custom Peptides Synthesis

Start from $40/each

new technologies

Image
Optimized for enhanced
expression levels
XPromoter 2.0
Image
E.coli/insect cells/293 & CHO

3 in 1 expression system
Image
MassAb Technologies

Cover All Epitopes