For quotations, please use our online quotation form, and you may also contact us by
service@kendallscientific.com
+1-888.733.6849 (Toll-free)
+1-617.299.7367 (Int’l))
+1-888.733.6849
Our customer service representatives are available 24 hours, Monday through Friday to assist you.| Reactivity | Human |
| Tested applications | WB IHC |
| Recommended Dilution | WB 1:500 - 1:2000 IHC 1:50 - 1:200 |
| Calculated MW | 54kDa |
| Observed MW | Refer to figures |
| Immunogen | A synthetic peptide of human CHEK1 |
| Storage Buffer | Store at -20℃. Avoid freeze / thaw cycles. Buffer: PBS with 0.02% sodium azide, 50% glycerol, pH7.3. |
| Concentration | e |
| Synonym | CHK1; |

Western blot analysis of extracts of various cells, using CHEK1 antibody.

Immunohistochemistry of paraffin-embedded human kidney cancer using CHEK1 antibody at dilution of 1:100 (x40 lens).

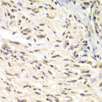
Immunohistochemistry of paraffin-embedded human gastric using CHEK1 antibody at dilution of 1:100 (x40 lens).

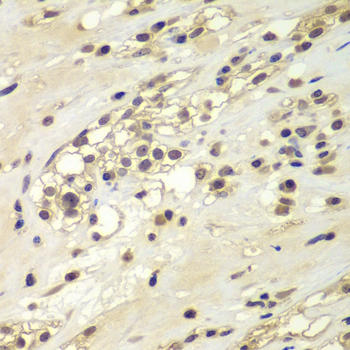
Immunohistochemistry of paraffin-embedded human gastric cancer using CHEK1 antibody at dilution of 1:100 (x40 lens).
The protein encoded by this gene belongs to the Ser/Thr protein kinase family. It is required for checkpoint mediated cell cycle arrest in response to DNA damage or the presence of unreplicated DNA. This protein acts to integrate signals from ATM and ATR, two cell cycle proteins involved in DNA damage responses, that also associate with chromatin in meiotic prophase I. Phosphorylation of CDC25A protein phosphatase by this protein is required for cells to delay cell cycle progression in response to double-strand DNA breaks. Several alternatively spliced transcript variants have been found for this gene.
N/A