For quotations, please use our online quotation form, and you may also contact us by
service@kendallscientific.com
+1-888.733.6849 (Toll-free)
+1-617.299.7367 (Int’l))
+1-888.733.6849
Our customer service representatives are available 24 hours, Monday through Friday to assist you.| Reactivity | Human Mouse Rat |
| Tested applications | WB IHC ICC IF IP |
| Recommended Dilution | WB 1:500 - 1:2000 IHC 1:50 - 1:200 ICC 1:50 - 1:200 IF 1:50 - 1:200 IP 1:20 - 1:100 |
| Calculated MW | 61kDa |
| Observed MW | Refer to Figures |
| Immunogen | Recombinant protein of human CHEK2 |
| Storage Buffer | Store at -20℃. Avoid freeze / thaw cycles. Buffer: PBS with 0.02% sodium azide, 50% glycerol, pH7.3. |
| Concentration | e |
| Synonym | CDS1; CHK2; HuCds1; LFS2; PP1425; RAD53; |

Western blot analysis of extracts of various cell lines, using CHEK2 antibody.

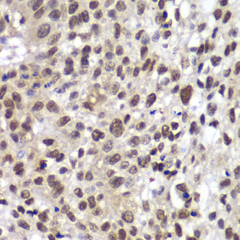
Immunohistochemistry of paraffin-embedded human lung cancer using CHEK2 antibody at dilution of 1:100 (400x lens).

Immunofluorescence analysis of MCF7 cell using CHEK2 antibody. Blue: DAPI for nuclear staining.

Immunofluorescence analysis of HeLa cell using CHEK2 antibody. Blue: DAPI for nuclear staining.

Immunofluorescence analysis of A549 cell using CHEK2 antibody.

Immunofluorescence analysis of A549 cell using CHEK2 antibody.
Chk2 is the mammalian orthologue of the budding yeast Rad53 and fission yeast Cds1 checkpoint kinases (1-3). The amino-terminal domain of Chk2 contains a series of seven serine or threonine residues (Ser19, Thr26, Ser28, Ser33, Ser35, Ser50, and Thr68) each followed by glutamine (SQ or TQ motif). These are known to be preferred sites for phosphorylation by ATM/ATR kinases (4,5). After DNA damage by ionizing radiation (IR), UV irradiation, or hydroxyurea treatment, Thr68 and other sites in this region become phosphorylated by ATM/ATR (5-7). The SQ/TQ cluster domain, therefore, seems to have a regulatory function. Phosphorylation at Thr68 is a prerequisite for the subsequent activation step, which is attributable to autophosphorylation of Chk2 at residues Thr383 and Thr387 in the activation loop of the kinase domain (8).
N/A