CLEC4D-Polyclonal Antibodies

our services
our products
Quotations & Ordering:

For quotations, please use our online quotation form, and you may also contact us by

service@kendallscientific.com

Phone:

+1-888.733.6849 (Toll-free)
+1-617.299.7367 (Int’l))

Fax:

+1-888.733.6849

Our customer service representatives are available 24 hours, Monday through Friday to assist you.

CLEC4D

Qty


Total
$220
Catalog #
A2697
Antibody Type
Polyclonal Antibody
Gene ID
338339
Swiss Prot
Q8WXI8
Size
Species
Rabbit
Isotype
IgG
Purity
Affinity purification
Additional Information
ReactivityHuman
Tested applicationsWB IHC
Recommended DilutionWB 1:1000 - 1:4000 IHC 1:50 - 1:200
Calculated MW25kDa
Observed MWRefer to Figures
ImmunogenRecombinant protein of human CLEC4D
Storage BufferStore at -20℃. Avoid freeze / thaw cycles. Buffer: PBS with 0.02% sodium azide, 50% glycerol, pH7.3.
SynonymMCL; MPCL; CLEC6; CLEC-6; CLECSF8;
Images
  • A2697: image 1

    Western blot analysis of extracts of various cells, using CLEC4D antibody.

  • A2697: image 2

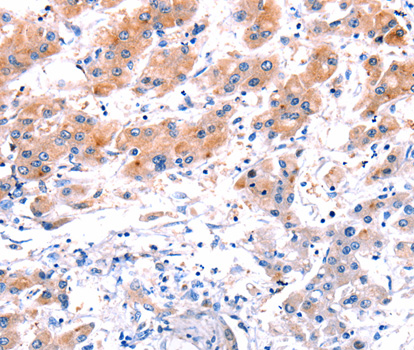
    Immunohistochemistry of paraffin-embedded human liver cancer tissue using CLEC4D antibody.

Background

This gene encodes a member of the C-type lectin/C-type lectin-like domain (CTL/CTLD) superfamily. Members of this family share a common protein fold and have diverse functions, such as cell adhesion, cell-cell signalling, glycoprotein turnover, and roles in inflammation and immune response. This gene is closely linked to other CTL/CTLD superfamily members on chromosome 12p13 in the natural killer gene complex region. [provided by RefSeq, Jul 2008]

Protocol

N/A

MSDS
Reviews
Kendall Scientific welcomes feedback from its customers.

If you have used an our product and would like to share how it has performed, please click on the "Submit Review" button and provide the requested information.

If you have any additional inquiries please email technical services at info@kendallscientific.com.

Thank you for your support.

promotions

Image

Custom Monoclonal Antibody
MassAb Technologies
Image
Free Trial Custom Polyclonal Antibody
You will receive free purified antibodies for validation
Image
Custom Peptides Synthesis

Start from $40/each

new technologies

Image
Optimized for enhanced
expression levels
XPromoter 2.0
Image
E.coli/insect cells/293 & CHO

3 in 1 expression system
Image
MassAb Technologies

Cover All Epitopes