For quotations, please use our online quotation form, and you may also contact us by
service@kendallscientific.com
+1-888.733.6849 (Toll-free)
+1-617.299.7367 (Int’l))
+1-888.733.6849
Our customer service representatives are available 24 hours, Monday through Friday to assist you.| Reactivity | Human Mouse Rat |
| Tested applications | WB IHC IF |
| Recommended Dilution | WB 1:500 - 1:2000 IHC 1:50 - 1:100 IF 1:50 - 1:100 |
| Calculated MW | 74kDa |
| Observed MW | Refer to Figures |
| Immunogen | A synthetic peptide of human CPT2 |
| Storage Buffer | Store at -20℃. Avoid freeze / thaw cycles. Buffer: PBS with 0.02% sodium azide, 50% glycerol, pH7.3. |
| Synonym | CPT1; IIAE4; CPTASE; |

Western blot analysis of extracts of various cell lines, using CPT2 antibody.

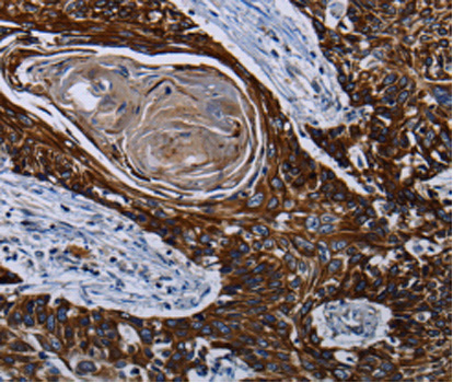
Immunohistochemistry of paraffin-embedded human esophagus cancer tissue using CPT2 antibody.

Immunohistochemistry of paraffin-embedded Rat kidney using CPT2 antibody at dilution of 1:100 (x40 lens).

Immunohistochemistry of paraffin-embedded liver cancer using CPT2 antibody at dilution of 1:100 (x40 lens).

Immunohistochemistry of paraffin-embedded mouse kidney using CPT2 antibody at dilution of 1:100 (x40 lens).

Immunofluorescence analysis of MCF7 cell using CPT2 antibody. Blue: DAPI for nuclear staining.
The protein encoded by this gene is a nuclear protein which is transported to the mitochondrial inner membrane. Together with carnitine palmitoyltransferase I, the encoded protein oxidizes long-chain fatty acids in the mitochondria. Defects in this gene are associated with mitochondrial long-chain fatty-acid (LCFA) oxidation disorders.
N/A