For quotations, please use our online quotation form, and you may also contact us by
service@kendallscientific.com
+1-888.733.6849 (Toll-free)
+1-617.299.7367 (Int’l))
+1-888.733.6849
Our customer service representatives are available 24 hours, Monday through Friday to assist you.| Reactivity | Human Mouse Rat |
| Tested applications | WB IHC IF |
| Recommended Dilution | WB 1:500 - 1:2000 IHC 1:50 - 1:200 IF 1:10 - 1:100 |
| Calculated MW | 47kDa |
| Observed MW | Refer to Figures |
| Immunogen | Recombinant protein of human CSNK1E |
| Storage Buffer | Store at -20℃. Avoid freeze / thaw cycles. Buffer: PBS with 0.02% sodium azide, 50% glycerol, pH7.3. |
| Synonym | HCKIE; CKIepsilon; |

Western blot analysis of extracts of various cell lines, using CSNK1E antibody.

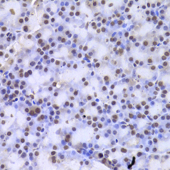
Immunohistochemistry of paraffin-embedded rat pancreas using CSNK1E antibody at dilution of 1:200 (400x lens).

Immunohistochemistry of paraffin-embedded mouse brain using CSNK1E antibody at dilution of 1:200 (400x lens).

Immunofluorescence analysis of HeLa cell using CSNK1E antibody. Blue: DAPI for nuclear staining.
The protein encoded by this gene is a serine/threonine protein kinase and a member of the casein kinase I protein family, whose members have been implicated in the control of cytoplasmic and nuclear processes, including DNA replication and repair. The encoded protein is found in the cytoplasm as a monomer and can phosphorylate a variety of proteins, including itself. This protein has been shown to phosphorylate period, a circadian rhythm protein. Two transcript variants encoding the same protein have been found for this gene.
N/A