For quotations, please use our online quotation form, and you may also contact us by
service@kendallscientific.com
+1-888.733.6849 (Toll-free)
+1-617.299.7367 (Int’l))
+1-888.733.6849
Our customer service representatives are available 24 hours, Monday through Friday to assist you.| Reactivity | Human Mouse Rat |
| Tested applications | WB IHC IF |
| Recommended Dilution | WB 1:500 - 1:2000 IHC 1:50 - 1:200 IF 1:50 - 1:200 |
| Calculated MW | 41kDa |
| Observed MW | Refer to Figures |
| Immunogen | Recombinant protein of human CSNK2A2 |
| Storage Buffer | Store at -20℃. Avoid freeze / thaw cycles. Buffer: PBS with 0.02% sodium azide, 50% glycerol, pH7.3. |
| Synonym | CK2A2; CSNK2A1; FLJ43934; |

Western blot analysis of extracts of various cell lines, using CSNK2A2 antibody.

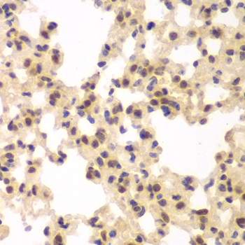
Immunohistochemistry of paraffin-embedded rat lung using CSNK2A2 antibody at dilution of 1:100 (400x lens).

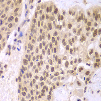
Immunohistochemistry of paraffin-embedded human lung cancer using CSNK2A2 antibody at dilution of 1:100 (400x lens).

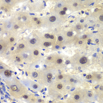
Immunohistochemistry of paraffin-embedded human liver cancer using CSNK2A2 antibody at dilution of 1:100 (400x lens).

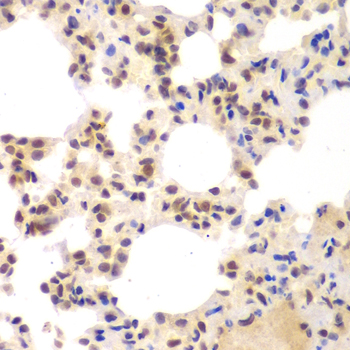
Immunohistochemistry of paraffin-embedded mouse lung using CSNK2A2 antibody at dilution of 1:100 (400x lens).
Casein kinase I (also designated CKI) and casein kinase II (CKII) compose a family of serine/threonine protein kinases which are present in all eukaryotes examined to date. Casein kinase I family members, which include casein kinase Iå, I©, I∂ and Ie, have been implicated in the control of cytoplasmic and nuclear processes, including DNA replication and repair. CKII is usually expressed as a tetrameric complex consisting of either an å2∫2 or an åå'∫2 structure. The a catalytic subunit is stimulated by the ∫ regulatory subunit, which undergoes autophosphorylation. Casein kinase II activity is high in the cytosol and nucleus of proliferating and differentiating cells. Casein kinase II is known to phosphorylate more than 100 different substrates including nuclear oncoproteins, transcription factors and enzymes involved in DNA metabolism.
N/A