For quotations, please use our online quotation form, and you may also contact us by
service@kendallscientific.com
+1-888.733.6849 (Toll-free)
+1-617.299.7367 (Int’l))
+1-888.733.6849
Our customer service representatives are available 24 hours, Monday through Friday to assist you.| Reactivity | Human Mouse Rat |
| Tested applications | WB IHC IF |
| Recommended Dilution | WB 1:500 - 1:2000 IHC 1:50 - 1:200 IF 1:50 - 1:200 |
| Calculated MW | 89kDa |
| Observed MW | Refer to figures |
| Immunogen | Recombinant protein of human CSRP2BP |
| Storage Buffer | Store at -20℃. Avoid freeze / thaw cycles. Buffer: PBS with 0.02% sodium azide, 50% glycerol, pH7.3. |
| Synonym | ATAC2; KAT14; CRP2BP; PRO1194; dJ717M23.1; |

Western blot analysis of extracts of various cell lines, using CSRP2BP antibody.

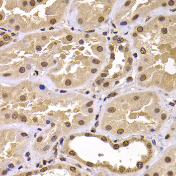
Immunohistochemistry of paraffin-embedded human kidney using CSRP2BP antibody at dilution of 1:100 (x400 lens).

Immunofluorescence analysis of A549 cell using CSRP2BP antibody. Blue: DAPI for nuclear staining.

Immunofluorescence analysis of A549 cell using CSRP2BP antibody. Blue: DAPI for nuclear staining.
CSRP2 is a protein containing two LIM domains, which are double zinc finger motifs found in proteins of diverse function. CSRP2 and some related proteins are thought to act as protein adapters, bridging two or more proteins to form a larger protein complex. The protein encoded by this gene binds to one of the LIM domains of CSRP2 and contains an acetyltransferase domain. Although the encoded protein has been detected in the cytoplasm, it is predominantly a nuclear protein. Alternatively spliced transcript variants have been described.
N/A