For quotations, please use our online quotation form, and you may also contact us by
service@kendallscientific.com
+1-888.733.6849 (Toll-free)
+1-617.299.7367 (Int’l))
+1-888.733.6849
Our customer service representatives are available 24 hours, Monday through Friday to assist you.| Reactivity | Human Mouse Rat |
| Tested applications | WB IHC |
| Recommended Dilution | WB 1:500 - 1:2000 IHC 1:50 - 1:100 |
| Calculated MW | 86kDa |
| Observed MW | Refer to Figures |
| Immunogen | A synthetic peptide of human CTNNB1 |
| Storage Buffer | Store at -20℃. Avoid freeze / thaw cycles. Buffer: PBS with 0.02% sodium azide, 50% glycerol, pH7.3. |
| Concentration | at |
| Synonym | CTNNB; DKFZp686D02253; FLJ25606; FLJ37923; β-catenin; |

Western blot analysis of extracts of HeLa cell lines, using CTNNB1 antibody.

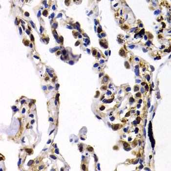
Immunohistochemistry of paraffin-embedded human lung cancer using CTNNB1 antibody at dilution of 1:200 (400x lens).

Immunohistochemistry of paraffin-embedded human stomach cancer using CTNNB1 antibody at dilution of 1:200 (400x lens).

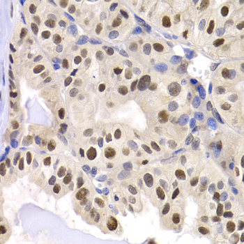
Immunohistochemistry of paraffin-embedded human thyroid cancer using CTNNB1 antibody at dilution of 1:200 (400x lens).

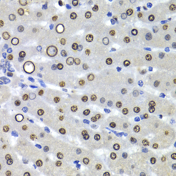
Immunohistochemistry of paraffin-embedded human liver cancer using CTNNB1 antibody at dilution of 1:200 (400x lens).

Immunohistochemistry of paraffin-embedded mouse heart using CTNNB1 antibody.

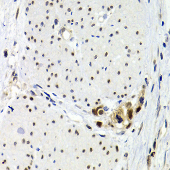
Immunohistochemistry of paraffin-embedded rat brain using CTNNB1 antibody.

Immunohistochemistry of paraffin-embedded rat heart using CTNNB1 antibody.

Immunohistochemistry of paraffin-embedded mouse liver using CTNNB1 antibody.

Immunohistochemistry of paraffin-embedded mouse heart using CTNNB1 antibody.

Immunohistochemistry of paraffin-embedded mouse liver using CTNNB1 antibody.
β-Catenin is a key downstream effector in the Wnt signaling pathway (1). It is implicated in two major biological processes in vertebrates: early embryonic development (2) and tumorigenesis (3). CK1 phosphorylates β-catenin at Ser45. This phosphorylation event primes β-catenin for subsequent phosphorylation by GSK-3β (4-6). GSK-3β destabilizes β-catenin by phosphorylating it at Ser33, Ser37, and Thr41 (7). Mutations at these sites result in the stabilization of β-catenin protein levels and have been found in many tumor cell lines (8).
N/A