For quotations, please use our online quotation form, and you may also contact us by
service@kendallscientific.com
+1-888.733.6849 (Toll-free)
+1-617.299.7367 (Int’l))
+1-888.733.6849
Our customer service representatives are available 24 hours, Monday through Friday to assist you.| Reactivity | Human Mouse Rat |
| Tested applications | WB IHC IF ChIP |
| Recommended Dilution | WB 1:500 - 1:2000 IHC 1:50 - 1:200 IF 1:50 - 1:200 ChIP 1:20 - 1:100 |
| Calculated MW | 75kDa |
| Observed MW | Refer to Figures |
| Immunogen | Recombinant protein of human CXXC1 |
| Storage Buffer | Store at -20℃. Avoid freeze / thaw cycles. Buffer: PBS with 0.02% sodium azide, 50% glycerol, pH7.3. |
| Concentration | fk |
| Synonym | CFP1; CGBP; SPP1; PCCX1; PHF18; hCGBP; ZCGPC1; HsT2645; 2410002I16Rik; 5830420C16Rik; |

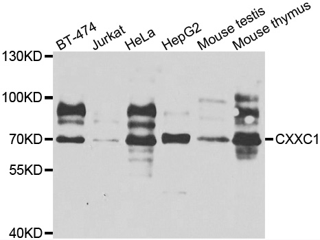
Western blot analysis of extracts of various cell lines, using CXXC1 antibody.

Western blot analysis of extracts of various cell lines, using CXXC1 antibody.

Immunohistochemistry of paraffin-embedded mouse lung using CXXC1 antibody at dilution of 1:200 (40x lens).

Immunofluorescence analysis of A549 cell using CXXC1 antibody. Blue: DAPI for nuclear staining.

Immunofluorescence analysis of HeLa cell using CXXC1 antibody. Blue: DAPI for nuclear staining.
Proteins that contain a CXXC motif within their DNA-binding domain, such as CXXC1, recognize CpG sequences and regulate gene expression (Carlone and Skalnik, 2001
N/A