For quotations, please use our online quotation form, and you may also contact us by
service@kendallscientific.com
+1-888.733.6849 (Toll-free)
+1-617.299.7367 (Int’l))
+1-888.733.6849
Our customer service representatives are available 24 hours, Monday through Friday to assist you.| Reactivity | Human Mouse Rat |
| Tested applications | WB IHC |
| Recommended Dilution | WB 1:500 - 1:2000 IHC 1:50 - 1:200 |
| Calculated MW | 58kDa |
| Observed MW | Refer to Figures |
| Immunogen | Recombinant protein of human CYP1A1 |
| Storage Buffer | Store at -20℃. Avoid freeze / thaw cycles. Buffer: PBS with 0.02% sodium azide, 50% glycerol, pH7.3. |
| Synonym | AHH; AHRR; CP11; CYP1; P1-450; P450-C; P450DX; |

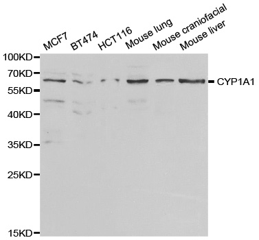
Western blot analysis of extracts of various cell lines, using CYP1A1 antibody.

Immunohistochemistry of paraffin-embedded rat testis using CYP1A1 antibody at dilution of 1:200 (x400 lens)

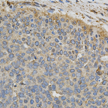
Immunohistochemistry of paraffin-embedded human esophageal cancer using CYP1A1 antibody at dilution of 1:200 (x400 lens)
This gene, CYP1A1, encodes a member of the cytochrome P450 superfamily of enzymes. The cytochrome P450 proteins are monooxygenases which catalyze many reactions involved in drug metabolism and synthesis of cholesterol, steroids and other lipids. This protein localizes to the endoplasmic reticulum and its expression is induced by some polycyclic aromatic hydrocarbons (PAHs), some of which are found in cigarette smoke. The enzyme's endogenous substrate is unknown; however, it is able to metabolize some PAHs to carcinogenic intermediates. The gene has been associated with lung cancer risk. A related family member, CYP1A2, is located approximately 25 kb away from CYP1A1 on chromosome 15. [provided by RefSeq, Jul 2008]
N/A