For quotations, please use our online quotation form, and you may also contact us by
service@kendallscientific.com
+1-888.733.6849 (Toll-free)
+1-617.299.7367 (Int’l))
+1-888.733.6849
Our customer service representatives are available 24 hours, Monday through Friday to assist you.| Reactivity | Human Mouse Rat |
| Tested applications | WB IHC |
| Recommended Dilution | WB 1:500 - 1:2000 IHC 1:50 - 1:200 |
| Calculated MW | 56kDa |
| Observed MW | Refer to figures |
| Immunogen | Recombinant protein of human CYP2C18 |
| Storage Buffer | Store at -20℃. Avoid freeze / thaw cycles. Buffer: PBS with 0.02% sodium azide, 50% glycerol, pH7.3. |
| Synonym | CPCI; CYP2C; CYP2C17; P450IIC17; P450-6B/29C; |

Western blot analysis of extracts of various cell lines, using CYP2C18 antibody.

Immunohistochemistry of paraffin-embedded human liver cancer using CYP2C18 antibody at dilution of 1:100 (x400 lens).

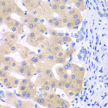
Immunohistochemistry of paraffin-embedded mouse liver using CYP2C18 antibody at dilution of 1:100 (x400 lens).
This gene encodes a member of the cytochrome P450 superfamily of enzymes. The cytochrome P450 proteins are monooxygenases which catalyze many reactions involved in drug metabolism and synthesis of cholesterol, steroids and other lipids. This protein localizes to the endoplasmic reticulum but its specific substrate has not yet been determined. The gene is located within a cluster of cytochrome P450 genes on chromosome 10q24. An additional gene, CYP2C17, was once thought to exist; however, CYP2C17 is now considered an artefact based on a chimera of CYP2C18 and CYP2C19. Alternatively spliced transcript variants encoding different isoforms have been found for this gene.
N/A