For quotations, please use our online quotation form, and you may also contact us by
service@kendallscientific.com
+1-888.733.6849 (Toll-free)
+1-617.299.7367 (Int’l))
+1-888.733.6849
Our customer service representatives are available 24 hours, Monday through Friday to assist you.| Reactivity | Human Mouse Rat |
| Tested applications | WB IHC IF |
| Recommended Dilution | WB 1:500 - 1:2000 IHC 1:50 - 1:200 IF 1:50 - 1:200 |
| Calculated MW | 31kDa |
| Observed MW | Refer to Figures |
| Immunogen | Recombinant protein of human DCK |
| Storage Buffer | Store at -20℃. Avoid freeze / thaw cycles. Buffer: PBS with 0.02% sodium azide, 50% glycerol, pH7.3. |
| Synonym | MGC117410; MGC138632; |

Western blot analysis of extracts of various cell lines, using DCK antibody.

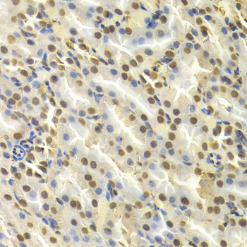
Immunohistochemistry of paraffin-embedded rat kidney using DCK antibody at dilution of 1:100 (x400 lens).

Immunofluorescence analysis of MCF7 cell using DCK antibody. Blue: DAPI for nuclear staining.

Immunofluorescence analysis of HeLa cell using DCK antibody. Blue: DAPI for nuclear staining.
Deoxycytidine kinase (dCK) is required for the phosphorylation of several deoxyribonucleoside analogues that are widely employed as chemotherapeutic agents(PMID:12628850). It is also a key enzyme in the phosphorylation of a variety of antineoplastic and antiviral nucleoside analogs including cytosine arabinoside (araC) and dideoxycytidine (ddCyd); deficiency of deoxycytidine kinase activity mediates resistance to these drugs(PMID:1996353). This protein can exsit as a homodimer(PMID:16421443). This antibody is specific to DCK.
N/A