For quotations, please use our online quotation form, and you may also contact us by
service@kendallscientific.com
+1-888.733.6849 (Toll-free)
+1-617.299.7367 (Int’l))
+1-888.733.6849
Our customer service representatives are available 24 hours, Monday through Friday to assist you.| Reactivity | Human Mouse Rat |
| Tested applications | WB IHC IF |
| Recommended Dilution | WB 1:500 - 1:2000 IHC 1:50 - 1:200 IF 1:10 - 1:100 |
| Calculated MW | 82kDa |
| Observed MW | Refer to figures |
| Immunogen | Recombinant protein of human DDX1 |
| Storage Buffer | Store at -20℃. Avoid freeze / thaw cycles. Buffer: PBS with 0.02% sodium azide, 50% glycerol, pH7.3. |
| Concentration | j |
| Synonym | DBP-RB; UKVH5d; |

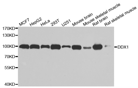
Western blot analysis of extracts of various cell lines, using DDX1 antibody.

Immunohistochemistry of paraffin-embedded rat brain using DDX1 antibody at dilution of 1:100 (x40 lens).

Immunohistochemistry of paraffin-embedded human lung cancer using DDX1 antibody at dilution of 1:100 (x40 lens).

Immunohistochemistry of paraffin-embedded human liver cancer using DDX1 antibody at dilution of 1:100 (x40 lens).

Immunohistochemistry of paraffin-embedded human liver injury using DDX1 antibody at dilution of 1:100 (x40 lens).

Immunohistochemistry of paraffin-embedded human colon carcinoma using DDX1 antibody at dilution of 1:100 (x40 lens).

Immunohistochemistry of paraffin-embedded mouse kidney using DDX1 antibody at dilution of 1:100 (x40 lens).

Immunofluorescence analysis of HeLa cell using DDX1 antibody. Blue: DAPI for nuclear staining.
DEAD box proteins, characterized by the conserved motif Asp-Glu-Ala-Asp (DEAD), are putative RNA helicases. They are implicated in a number of cellular processes involving alteration of RNA secondary structure such as translation initiation, nuclear and mitochondrial splicing, and ribosome and spliceosome assembly. Based on their distribution patterns, some members of this family are believed to be involved in embryogenesis, spermatogenesis, and cellular growth and division. This gene encodes a DEAD box protein of unknown function. It shows high transcription levels in 2 retinoblastoma cell lines and in tissues of neuroectodermal origin.
N/A