DFFA-Polyclonal Antibodies

our services
our products
Quotations & Ordering:

For quotations, please use our online quotation form, and you may also contact us by

service@kendallscientific.com

Phone:

+1-888.733.6849 (Toll-free)
+1-617.299.7367 (Int’l))

Fax:

+1-888.733.6849

Our customer service representatives are available 24 hours, Monday through Friday to assist you.

DFFA

Qty


Total
$220
Catalog #
A1032
Antibody Type
Polyclonal Antibody
Gene ID
1676
Swiss Prot
O00273
Size
Species
Rabbit
Isotype
IgG
Purity
Affinity purification
Additional Information
ReactivityHuman Mouse Rat
Tested applicationsWB IHC IF
Recommended DilutionWB 1:500 - 1:2000 IHC 1:50 - 1:200 IF 1:50 - 1:100
Calculated MW37kDa
Observed MWRefer to Figures
ImmunogenRecombinant protein of human DFFA
Storage BufferStore at -20℃. Avoid freeze / thaw cycles. Buffer: PBS with 0.02% sodium azide, 50% glycerol, pH7.3.
Concentrationb
SynonymDFFA ; DFF1; Inhibitor of CAD; ICAD; DFF 45; DFF45
Images
  • A1032: image 1

    Western blot analysis of extracts of various cell lines, using DFFA antibody.

  • A1032: image 2

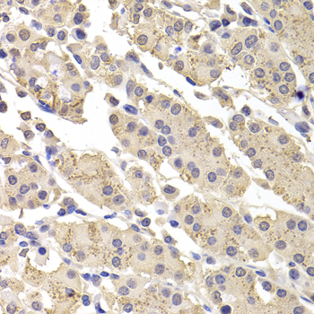
    Immunohistochemistry of paraffin-embedded human stomach using DFFA antibody at dilution of 1:100 (x400 lens).

  • A1032: image 3

    Immunofluorescence analysis of HeLa cell using DFFA antibody. Blue: DAPI for nuclear staining.

Background

Apoptosis is a cell death process that removes toxic and/or useless cells during mammalian development. The apoptotic process is accompanied by shrinkage and fragmentation of the cells and nuclei and degradation of the chromosomal DNA into nucleosomal units. DNA fragmentation factor (DFF), a heterodimeric protein of 40-kD (DFFB) and 45-kD (DFFA) subunits, is one of the major endonucleases responsible for internucleosomal DNA cleavage during apoptosis. DFFA is the substrate for caspase-3 and triggers DNA fragmentation during apoptosis. DFF becomes activated when DFFA is cleaved by caspase-3. The cleaved fragments of DFFA dissociate from DFFB, the active component of DFF. DFFB has been found to trigger both DNA fragmentation and chromatin condensation during apoptosis. Assignment of the DNA fragmentation factor gene (DFFA) to human chromosome bands 1p36.3-2 by in situ hybridization

Protocol

N/A

MSDS
Reviews
Kendall Scientific welcomes feedback from its customers.

If you have used an our product and would like to share how it has performed, please click on the "Submit Review" button and provide the requested information.

If you have any additional inquiries please email technical services at info@kendallscientific.com.

Thank you for your support.

promotions

Image

Custom Monoclonal Antibody
MassAb Technologies
Image
Free Trial Custom Polyclonal Antibody
You will receive free purified antibodies for validation
Image
Custom Peptides Synthesis

Start from $40/each

new technologies

Image
Optimized for enhanced
expression levels
XPromoter 2.0
Image
E.coli/insect cells/293 & CHO

3 in 1 expression system
Image
MassAb Technologies

Cover All Epitopes