DGKE-Polyclonal Antibodies

our services
our products
Quotations & Ordering:

For quotations, please use our online quotation form, and you may also contact us by

service@kendallscientific.com

Phone:

+1-888.733.6849 (Toll-free)
+1-617.299.7367 (Int’l))

Fax:

+1-888.733.6849

Our customer service representatives are available 24 hours, Monday through Friday to assist you.

DGKE

Qty


Total
$220
Catalog #
A7752
Antibody Type
Polyclonal Antibody
Gene ID
8526
Swiss Prot
P52429
Size
Species
Rabbit
Isotype
IgG
Purity
Affinity purification
Additional Information
ReactivityHuman Mouse
Tested applicationsWB IHC
Recommended DilutionWB 1:500 - 1:2000 IHC 1:50 - 1:200
Calculated MW64kDa
Observed MWRefer to figures
ImmunogenRecombinant protein of human DGKE
Storage BufferStore at -20℃. Avoid freeze / thaw cycles. Buffer: PBS with 0.02% sodium azide, 50% glycerol, pH7.3.
SynonymDGK; DAGK5; DAGK6; NPHS7;
Images
  • A7752: image 1

    Western blot analysis of extracts of various cells, using DGKE antibody.

  • A7752: image 2

    Immunohistochemistry of paraffin-embedded human gastric using DGKE antibody at dilution of 1:100 (40x lens).

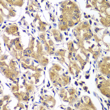
  • A7752: image 3

    Immunohistochemistry of paraffin-embedded mouse kidney using DGKE antibody at dilution of 1:100 (40x lens).

Background

Diacylglycerol kinases are thought to be involved mainly in the regeneration of phosphatidylinositol (PI) from diacylglycerol in the PI-cycle during cell signal transduction. When expressed in mammalian cells, DGK-epsilon shows specificity for arachidonyl-containing diacylglycerol. DGK-epsilon is expressed predominantly in testis.

Protocol

N/A

MSDS
Reviews
Kendall Scientific welcomes feedback from its customers.

If you have used an our product and would like to share how it has performed, please click on the "Submit Review" button and provide the requested information.

If you have any additional inquiries please email technical services at info@kendallscientific.com.

Thank you for your support.

promotions

Image

Custom Monoclonal Antibody
MassAb Technologies
Image
Free Trial Custom Polyclonal Antibody
You will receive free purified antibodies for validation
Image
Custom Peptides Synthesis

Start from $40/each

new technologies

Image
Optimized for enhanced
expression levels
XPromoter 2.0
Image
E.coli/insect cells/293 & CHO

3 in 1 expression system
Image
MassAb Technologies

Cover All Epitopes