For quotations, please use our online quotation form, and you may also contact us by
service@kendallscientific.com
+1-888.733.6849 (Toll-free)
+1-617.299.7367 (Int’l))
+1-888.733.6849
Our customer service representatives are available 24 hours, Monday through Friday to assist you.| Reactivity | Human Mouse Rat |
| Tested applications | WB IHC |
| Recommended Dilution | WB 1:500 - 1:2000 IHC 1:50 - 1:200 |
| Calculated MW | 60kDa |
| Observed MW | Refer to Figures |
| Immunogen | A synthetic peptide of human DISC1 |
| Storage Buffer | Store at -20℃. Avoid freeze / thaw cycles. Buffer: PBS with 0.02% sodium azide, 50% glycerol, pH7.3. |
| Concentration | df |
| Synonym | SCZD9;C1orf136; |

Western blot analysis of extracts of various cells, using DISC1 antibody.

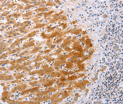
Immunohistochemistry of paraffin-embedded human liver cancer tissue using DISC1 antibody.

Immunohistochemistry of paraffin-embedded human stomach using DISC1 antibody at dilution of 1:100 (x40 lens).

Immunohistochemistry of paraffin-embedded rat kidney using DISC1 antibody at dilution of 1:100 (x40 lens).
This gene encodes a protein with multiple coiled coil motifs which is located in the nucleus, cytoplasm and mitochondria. The protein is involved in neurite outgrowth and cortical development through its interaction with other proteins. This gene is disrupted in a t(1;11)(q42.1;q14.3) translocation which segregates with schizophrenia and related psychiatric disorders in a large Scottish family. Alternate transcriptional splice variants, encoding different isoforms, have been characterized.
N/A