For quotations, please use our online quotation form, and you may also contact us by
service@kendallscientific.com
+1-888.733.6849 (Toll-free)
+1-617.299.7367 (Int’l))
+1-888.733.6849
Our customer service representatives are available 24 hours, Monday through Friday to assist you.| Reactivity | Human Mouse Rat |
| Tested applications | WB IHC IF |
| Recommended Dilution | WB 1:500 - 1:2000 IHC 1:50 - 1:200 IF 1:50 - 1:200 |
| Calculated MW | 54kDa |
| Observed MW | Refer to Figures |
| Immunogen | Recombinant protein of human DLD |
| Storage Buffer | Store at -20℃. Avoid freeze / thaw cycles. Buffer: PBS with 0.02% sodium azide, 50% glycerol, pH7.3. |
| Synonym | E3; LAD; DLDD; DLDH; GCSL; PHE3 |

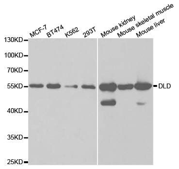
Western blot analysis of extracts of various cell lines, using DLD antibody.

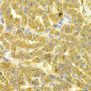
Immunohistochemistry of paraffin-embedded human thyroid cancer using DLD antibody at dilution of 1:100 (x40 lens).

Immunohistochemistry of paraffin-embedded human liver injury using DLD antibody at dilution of 1:100 (x40 lens).

Immunohistochemistry of paraffin-embedded human esophageal cancer using DLD antibody at dilution of 1:100 (x40 lens).

Immunofluorescence analysis of U20S cell using DLD antibody. Blue: DAPI for nuclear staining.

Immunofluorescence analysis of HeLa cell using DLD antibody. Blue: DAPI for nuclear staining.
This gene encodes the L protein of the mitochondrial glycine cleavage system. The L protein, also named dihydrolipoamide dehydrogenase, is also a component of the pyruvate dehydrogenase complex, the alpha-ketoglutarate dehydrogenase complex, and the branched-chain alpha-keto acide dehydrogenase complex. Mutations in this gene have been identified in patients with E3-deficient maple syrup urine disease and lipoamide dehydrogenase deficiency.
N/A