For quotations, please use our online quotation form, and you may also contact us by
service@kendallscientific.com
+1-888.733.6849 (Toll-free)
+1-617.299.7367 (Int’l))
+1-888.733.6849
Our customer service representatives are available 24 hours, Monday through Friday to assist you.| Reactivity | Human Mouse |
| Tested applications | WB IHC IF |
| Recommended Dilution | WB 1:500 - 1:2000 IHC 1:50 - 1:200 IF 1:50 - 1:200 |
| Calculated MW | 95kDa |
| Observed MW | Refer to Figures |
| Immunogen | Recombinant protein of human DLGAP5 |
| Storage Buffer | Store at -20℃. Avoid freeze / thaw cycles. Buffer: PBS with 0.02% sodium azide, 50% glycerol, pH7.3. |
| Synonym | DLGAP5; DLG7; HURP; KIAA0008; |

Western blot analysis of extracts of various tissues, using DLGAP5 antibody.

Immunohistochemistry of paraffin-embedded human stomach transfer using DLGAP5 antibody at dilution of 1:200 (x400 lens).

Immunohistochemistry of paraffin-embedded human esophageal cancer using DLGAP5 antibody at dilution of 1:100 (x400 lens).

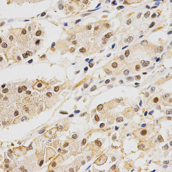
Immunohistochemistry of paraffin-embedded Human gastric cancer using DLGAP5 antibody at dilution of 1:100 (x400 lens).

Immunofluorescence analysis of U2OS cell using DLGAP5 antibody. Blue: DAPI for nuclear staining.

Immunofluorescence analysis of HeLa cell using DLGAP5 antibody. Blue: DAPI for nuclear staining.
DLG7 is a potential cell cycle regulator that may play a role in carcinogenesis of cancer cells and mitotic phosphoprotein regulated by the ubiquitin-proteasome pathway. The protein is also a key regulator of adherens junction integrity and differentiation that may be involved in CDH1-mediated adhesion and signaling in epithelial cells.de Reynies,A., J. Clin. Oncol. 27 (7), 1108-1115 (2009)Gudmundsson,K.O., Stem Cells 25 (6), 1498-1506 (2007)Laprise,P., J. Biol. Chem. 279 (11), 10157-10166 (2004)
N/A