For quotations, please use our online quotation form, and you may also contact us by
service@kendallscientific.com
+1-888.733.6849 (Toll-free)
+1-617.299.7367 (Int’l))
+1-888.733.6849
Our customer service representatives are available 24 hours, Monday through Friday to assist you.| Reactivity | Human Mouse Rat |
| Tested applications | WB IHC |
| Recommended Dilution | WB 1:500 - 1:2000 IHC 1:50 - 1:100 |
| Calculated MW | 49kDa |
| Observed MW | Refer to Figures |
| Immunogen | A synthetic peptide of human DRD1 |
| Storage Buffer | Store at -20℃. Avoid freeze / thaw cycles. Buffer: PBS with 0.02% sodium azide, 50% glycerol, pH7.3. |
| Synonym | DADR;DRD1A; |

Western blot analysis of extracts of various cell lines, using DRD1 antibody.

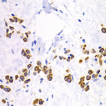
Immunohistochemistry of paraffin-embedded human thyroid cancer tissue using DRD1antibody.

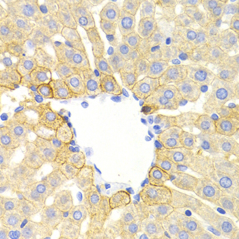
Immunohistochemistry of paraffin-embedded rat liver using DRD1 antibody at dilution of 1:200 (400x lens).

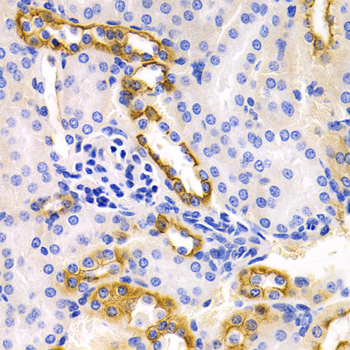
Immunohistochemistry of paraffin-embedded rat kidney using DRD1 antibody at dilution of 1:200 (400x lens).

Immunohistochemistry of paraffin-embedded human metrocarcinoma using DRD1 antibody at dilution of 1:200 (400x lens).

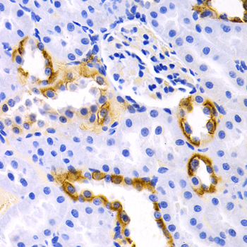
Immunohistochemistry of paraffin-embedded mouse kidney using DRD1 antibody at dilution of 1:200 (400x lens).

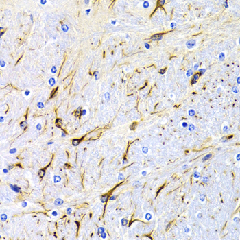
Immunohistochemistry of paraffin-embedded mouse brain using DRD1 antibody at dilution of 1:200 (400x lens).

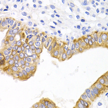
Immunohistochemistry of paraffin-embedded human stomach cancer using DRD1 antibody at dilution of 1:200 (400x lens).
This gene encodes the D1 subtype of the dopamine receptor. The D1 subtype is the most abundant dopamine receptor in the central nervous system. This G-protein coupled receptor stimulates adenylyl cyclase and activates cyclic AMP-dependent protein kinases. D1 receptors regulate neuronal growth and development, mediate some behavioral responses, and modulate dopamine receptor D2-mediated events. Alternate transcription initiation sites result in two transcript variants of this gene.
N/A