For quotations, please use our online quotation form, and you may also contact us by
service@kendallscientific.com
+1-888.733.6849 (Toll-free)
+1-617.299.7367 (Int’l))
+1-888.733.6849
Our customer service representatives are available 24 hours, Monday through Friday to assist you.| Reactivity | Human Mouse |
| Tested applications | WB IHC |
| Recommended Dilution | WB 1:500 - 1:2000 IHC 1:50 - 1:200 |
| Calculated MW | 332kDa |
| Observed MW | Refer to figures |
| Immunogen | A synthetic peptide of human DSP |
| Storage Buffer | Store at -20℃. Avoid freeze / thaw cycles. Buffer: PBS with 0.02% sodium azide, 50% glycerol, pH7.3. |
| Synonym | DP; DPI; DPII; DCWHKTA; |

Western blot analysis of extracts of various cells, using DSP antibody.

Immunohistochemistry of paraffin-embedded human stomach cancer using DSP antibody at dilution of 1:100 (40x lens).

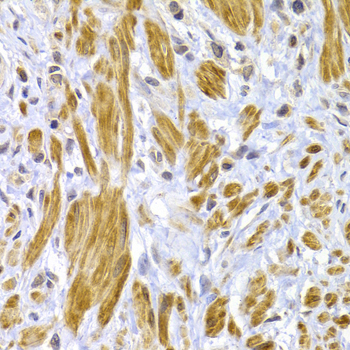
Immunohistochemistry of paraffin-embedded mouse heart using DSP antibody at dilution of 1:100 (40x lens).

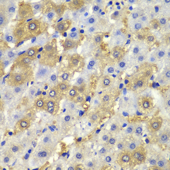
Immunohistochemistry of paraffin-embedded human liver injury using DSP antibody at dilution of 1:100 (400x lens).
Desmosomes are intercellular junctions that tightly link adjacent cells. Desmoplakin is an obligate component of functional desmosomes that anchors intermediate filaments to desmosomal plaques. The N-terminus of desmoplakin is required for localization to the desmosome and interacts with the N-terminal region of plakophilin 1 and plakoglobin. The C-terminus of desmoplakin binds with intermediate filaments. In the mid-region of desmoplakin, a coiled-coiled rod domain is responsible for homodimerization. Mutations in this gene are the cause of several cardiomyopathies and keratodermas as well as the autoimmune disease paraneoplastic pemphigus.
N/A