For quotations, please use our online quotation form, and you may also contact us by
service@kendallscientific.com
+1-888.733.6849 (Toll-free)
+1-617.299.7367 (Int’l))
+1-888.733.6849
Our customer service representatives are available 24 hours, Monday through Friday to assist you.| Reactivity | Human Mouse Rat |
| Tested applications | WB IHC IF |
| Recommended Dilution | WB 1:500 - 1:2000 IHC 1:50 - 1:200 IF 1:50 - 1:200 |
| Calculated MW | 39kDa |
| Observed MW | Refer to Figures |
| Immunogen | Recombinant protein of human DTNBP1 |
| Storage Buffer | Store at -20℃. Avoid freeze / thaw cycles. Buffer: PBS with 0.02% sodium azide, 50% glycerol, pH7.3. |
| Synonym | DBND; DKFZp564K192; FLJ30031; HPS7; MGC20210; My031; SD; |

Western blot analysis of extracts of various cell lines, using DTNBP1 antibody.

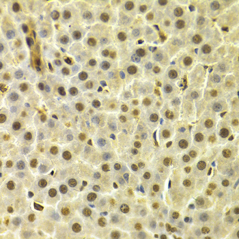
Immunohistochemistry of paraffin-embedded rat liver using DTNBP1 antibody at dilution of 1:100 (x400 lens).

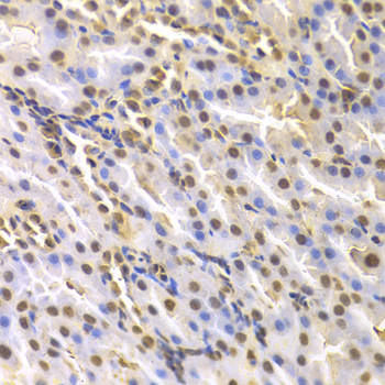
Immunohistochemistry of paraffin-embedded rat kidney using DTNBP1 antibody at dilution of 1:100 (x400 lens).

Immunofluorescence analysis of MCF7 cell using DTNBP1 antibody. Blue: DAPI for nuclear staining.

Immunofluorescence analysis of A549 cell using DTNBP1 antibody. Blue: DAPI for nuclear staining.
Dysbindin, or dystrobrevin-binding protein 1, is a coiled-coil-containing protein expressed in muscle and brain that was identified as a binding partner of dystrobrevin (1). Dysbindin upregulates expression of the pre-synaptic proteins SNAP25 and synapsin I, thereby increasing glutamate release and promoting neuronal viability through Akt signaling. In particular, Akt phosphorylation is suppressed with downregulation of dysbindin and increased with upregulation of dysbindin (2). A nonsense mutation of dysbindin causes Hermansky-Pudlak disease, an autosomal recessive disorder characterized by lysosomal storage defects and prolonged bleeding. (2). Genetic variation in the gene encoding dysbindin is strongly associated with schizophrenia and protein levels are reduced in the prefrontal cortex, midbrain and hippocampus of brains from patients with schizophrenia (3,4).
N/A