For quotations, please use our online quotation form, and you may also contact us by
service@kendallscientific.com
+1-888.733.6849 (Toll-free)
+1-617.299.7367 (Int’l))
+1-888.733.6849
Our customer service representatives are available 24 hours, Monday through Friday to assist you.| Reactivity | Human Mouse Rat |
| Tested applications | WB IHC IF |
| Recommended Dilution | WB 1:500 - 1:2000 IHC 1:50 - 1:200 IF 1:50 - 1:200 |
| Calculated MW | 16kDa |
| Observed MW | Refer to Figures |
| Immunogen | Recombinant protein of human EIF5A |
| Storage Buffer | Store at -20℃. Avoid freeze / thaw cycles. Buffer: PBS with 0.02% sodium azide, 50% glycerol, pH7.3. |
| Concentration | b |
| Synonym | EIF-5A; EIF5A1; eIF5AI; |

Western blot analysis of extracts of various cell lines, using EIF5A antibody.

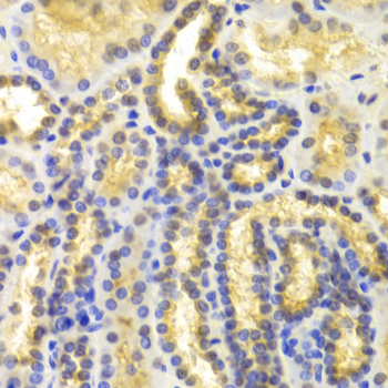
Immunohistochemistry of paraffin-embedded human kidney using EIF5A antibody at dilution of 1:100 (x400 lens).

Immunofluorescence analysis of U2OS cell using EIF5A antibody. Blue: DAPI for nuclear staining.

Immunofluorescence analysis of A549 cell using EIF5A antibody. Blue: DAPI for nuclear staining.
mRNA-binding protein involved in translation elongation. Has an important function at the level of Mrna turnover, probably acting downstream of decapping. Involved in actin dynamics and cell cycle progression, mRNA decay and probably in a pathway involved in stress response and maintenance of cell wall integrity. With syntenin SDCBP, functions as a regulator of p53/TP53 and p53/TP53-dependent apoptosis. Regulates also TNF-alpha-mediated apoptosis. Mediates effects of polyamines on neuronal process extension and survival. May play an important role in brain development and function, and in skeletal muscle stem cell differentiation. Also described as a cellular cofactor of human T-cell leukemia virus type I (HTLV-1) Rex protein and of human immunodeficiency virus type 1 (HIV-1) Rev protein, essential for mRNA export of retroviral transcripts.
N/A