ENO1-Polyclonal Antibodies

our services
our products
Quotations & Ordering:

For quotations, please use our online quotation form, and you may also contact us by

service@kendallscientific.com

Phone:

+1-888.733.6849 (Toll-free)
+1-617.299.7367 (Int’l))

Fax:

+1-888.733.6849

Our customer service representatives are available 24 hours, Monday through Friday to assist you.

ENO1

Qty


Total
$220
Catalog #
A1033
Antibody Type
Polyclonal Antibody
Gene ID
2023
Swiss Prot
P06733
Size
Species
Rabbit
Isotype
IgG
Purity
Affinity purification
Additional Information
ReactivityHuman Mouse Rat
Tested applicationsWB IHC IF
Recommended DilutionWB 1:500 - 1:2000 IHC 1:50 - 1:200 IF 1:20 - 1:100
Calculated MW47kDa
Observed MWRefer to Figures
ImmunogenRecombinant protein of human ENO1
Storage BufferStore at -20℃. Avoid freeze / thaw cycles. Buffer: PBS with 0.02% sodium azide, 50% glycerol, pH7.3.
Concentrationj
SynonymENO1;ENO1L1;MBP-1;MPB1;NNE;PPH ;
Images
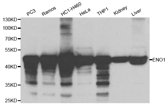
  • A1033: image 1

    Western blot analysis of extracts of various cell lines, using ENO1 antibody.

  • A1033: image 2

    Immunofluorescence analysis of HeLa cell using ENO1 antibody. Blue: DAPI for nuclear staining.

Background

Enolase is an important glycolytic enzyme involved in the interconversion of 2-phosphoglycerate to phosphoenolpyruvate. Mammalian enolase exists as three subunits: enolase-1 (α-enolase), enolase-2 (γ-enolase) and enolase-3 (β-enolase) that can form both homo- and heterodimers. Expression of the enolase isoforms differs in a tissue specific manner (1). Enolase-1 plays a key role in anaerobic metabolism under hypoxic conditions and may act as a cell surface plasminogen receptor during tissue invasion (2,3). Abnormal expression of enolase-1 is associated with tumor progression in some cases of breast and lung cancer (4-7). Alternatively, an enolase-1 splice variant (MBP-1) binds the c-myc promoter p2 and may function as a tumor suppressor. For this reason enolase-1 is considered as a potential therapeutic target in the treatment of some forms of cancer (8).

Protocol

N/A

MSDS
Reviews
Kendall Scientific welcomes feedback from its customers.

If you have used an our product and would like to share how it has performed, please click on the "Submit Review" button and provide the requested information.

If you have any additional inquiries please email technical services at info@kendallscientific.com.

Thank you for your support.

promotions

Image

Custom Monoclonal Antibody
MassAb Technologies
Image
Free Trial Custom Polyclonal Antibody
You will receive free purified antibodies for validation
Image
Custom Peptides Synthesis

Start from $40/each

new technologies

Image
Optimized for enhanced
expression levels
XPromoter 2.0
Image
E.coli/insect cells/293 & CHO

3 in 1 expression system
Image
MassAb Technologies

Cover All Epitopes