ENPP7-Polyclonal Antibodies

our services
our products
Quotations & Ordering:

For quotations, please use our online quotation form, and you may also contact us by

service@kendallscientific.com

Phone:

+1-888.733.6849 (Toll-free)
+1-617.299.7367 (Int’l))

Fax:

+1-888.733.6849

Our customer service representatives are available 24 hours, Monday through Friday to assist you.

ENPP7

Qty


Total
$220
Catalog #
A2912
Antibody Type
Polyclonal Antibody
Gene ID
339221
Swiss Prot
Q6UWV6
Size
Species
Rabbit
Isotype
IgG
Purity
Affinity purification
Additional Information
ReactivityHuman
Tested applicationsWB IHC
Recommended DilutionWB 1:500 - 1:2000 IHC 1:50 - 1:200
Calculated MW52kDa
Observed MWRefer to Figures
ImmunogenA synthetic peptide of human ENPP7
Storage BufferStore at -20℃. Avoid freeze / thaw cycles. Buffer: PBS with 0.02% sodium azide, 50% glycerol, pH7.3.
SynonymALK-SMase;
Images
  • A2912: image 1

    Western blot analysis of extracts of HepG2 cell line, using ENPP7 antibody.

  • A2912: image 2

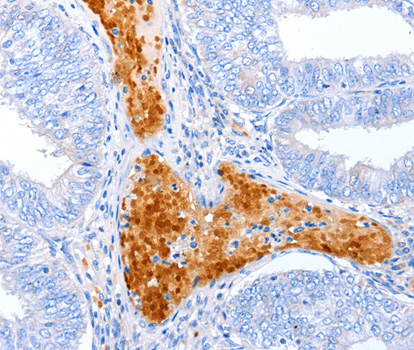
    Immunohistochemistry of paraffin-embedded human cervical cancer tissue using ENPP7 antibody.

Background

Ectonucleotide pyrophosphatase/phosphodiesterase family member 7 (E-NPP 7) also known as alkaline sphingomyelin phosphodiesterase (Alk-SMase) or intestinal alkaline sphingomyelinase is an enzyme that in humans is encoded by the ENPP7 gene. Converts sphingomyelin to ceramide. Also has phospholipase C activity toward palmitoyl lyso-phosphocholine. Does not appear to have nucleotide pyrophosphatase activity. Inhibited in a dose dependent manner by ATP, imidazole, orthovanadate and zinc ion. Not inhibited by ADP, AMP and EDTA. Detected in the colon (at protein level). Expressed in the duodenum, jejunum and liver and at low levels in the ileum. Expression was very low in the esophagus, stomach and colon.

Protocol

N/A

MSDS
Reviews
Kendall Scientific welcomes feedback from its customers.

If you have used an our product and would like to share how it has performed, please click on the "Submit Review" button and provide the requested information.

If you have any additional inquiries please email technical services at info@kendallscientific.com.

Thank you for your support.

promotions

Image

Custom Monoclonal Antibody
MassAb Technologies
Image
Free Trial Custom Polyclonal Antibody
You will receive free purified antibodies for validation
Image
Custom Peptides Synthesis

Start from $40/each

new technologies

Image
Optimized for enhanced
expression levels
XPromoter 2.0
Image
E.coli/insect cells/293 & CHO

3 in 1 expression system
Image
MassAb Technologies

Cover All Epitopes