For quotations, please use our online quotation form, and you may also contact us by
service@kendallscientific.com
+1-888.733.6849 (Toll-free)
+1-617.299.7367 (Int’l))
+1-888.733.6849
Our customer service representatives are available 24 hours, Monday through Friday to assist you.| Reactivity | Human Mouse Rat |
| Tested applications | WB IHC IF |
| Recommended Dilution | WB 1:500 - 1:2000 IHC 1:50 - 1:200 IF 1:50 - 1:200 |
| Calculated MW | 50kDa |
| Observed MW | Refer to Figures |
| Immunogen | Recombinant Protein of human ETS1 |
| Storage Buffer | Store at -20℃. Avoid freeze / thaw cycles. Buffer: PBS with 0.02% sodium azide, 50% glycerol, pH7.3. |
| Concentration | kq |
| Synonym | ETS-1; EWSR2; |

Western blot analysis of extracts of various cell lines, using ETS1 antibody.

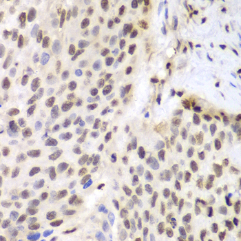
Immunohistochemistry of paraffin-embedded human lung cancer using ETS1 antibody at dilution of 1:100 (400x lens).

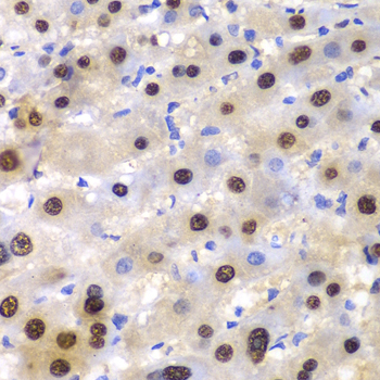
Immunohistochemistry of paraffin-embedded human liver cancer using ETS1 antibody at dilution of 1:100 (400x lens).

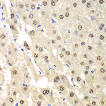
Immunohistochemistry of paraffin-embedded human liver injury using ETS1 antibody at dilution of 1:100 (400x lens).

Immunohistochemistry of paraffin-embedded human esophageal using ETS1 antibody at dilution of 1:100 (400x lens).

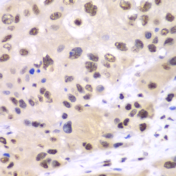
Immunohistochemistry of paraffin-embedded human esophageal cancer using ETS1 antibody at dilution of 1:100 (400x lens).

Immunofluorescence analysis of U2OS cell using ETS1 antibody. Blue: DAPI for nuclear staining.

Immunofluorescence analysis of A549 cell using ETS1 antibody. Blue: DAPI for nuclear staining.
This gene encodes a member of the ETS family of transcription factors, which are defined by the presence of a conserved ETS DNA-binding domain that recognizes the core consensus DNA sequence GGAA/T in target genes. These proteins function either as transcriptional activators or repressors of numerous genes, and are involved in stem cell development, cell senescence and death, and tumorigenesis. Alternatively spliced transcript variants encoding different isoforms have been described for this gene.
N/A