For quotations, please use our online quotation form, and you may also contact us by
service@kendallscientific.com
+1-888.733.6849 (Toll-free)
+1-617.299.7367 (Int’l))
+1-888.733.6849
Our customer service representatives are available 24 hours, Monday through Friday to assist you.| Reactivity | Human Mouse Rat |
| Tested applications | WB IHC |
| Recommended Dilution | WB 1:500 - 1:2000 IHC 1:50 - 1:200 |
| Calculated MW | 63kDa |
| Observed MW | Refer to figures |
| Immunogen | Recombinant protein of human EYA3 |
| Storage Buffer | Store at -20℃. Avoid freeze / thaw cycles. Buffer: PBS with 0.02% sodium azide, 50% glycerol, pH7.3. |

Western blot analysis of extracts of various cells, using EYA3 antibody.

Immunohistochemistry of paraffin-embedded rat kidney using EYA3 antibody at dilution of 1:100 (40x lens).

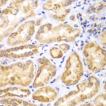
Immunohistochemistry of paraffin-embedded human kidney using EYA3 antibody at dilution of 1:100 (40x lens).

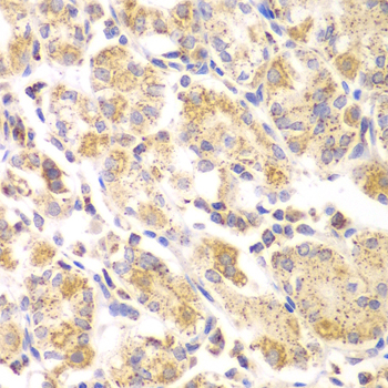
Immunohistochemistry of paraffin-embedded human gastric using EYA3 antibody at dilution of 1:100 (40x lens).

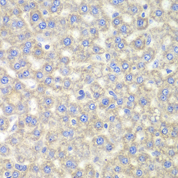
Immunohistochemistry of paraffin-embedded mouse liver using EYA3 antibody at dilution of 1:100 (40x lens).
This gene encodes a member of the eyes absent (EYA) family of proteins. The encoded protein may act as a transcriptional activator and have a role during development. It can act as a mediator of chemoresistance and cell survival in Ewing sarcoma cells, where this gene is up-regulated via a micro-RNA that binds to the 3' UTR of the transcript. A similar protein in mice acts as a transcriptional activator. Alternative splicing of this gene results in multiple transcript variants.
N/A